Click here to close
Hello! We notice that you are using Internet Explorer, which is not supported by Xenbase and may cause the site to display incorrectly.
We suggest using a current version of Chrome,
FireFox, or Safari.
J Biol Chem
2002 Jan 11;2772:1139-47. doi: 10.1074/jbc.M107018200.
Show Gene links
Show Anatomy links
Two myogenin-related genes are differentially expressed in Xenopus laevis myogenesis and differ in their ability to transactivate muscle structural genes.
Charbonnier F, Gaspera BD, Armand AS, Van der Laarse WJ, Launay T, Becker C, Gallien CL, Chanoine C.
???displayArticle.abstract???
Among the myogenic regulatory factors, myogenin is a transcriptional activator situated at a crucial position for terminal differentiation in muscle development. It is unclear at present whether myogenin exhibits unique specificities to transactivate late muscular markers. During Xenopus development, the accumulation of myogenin mRNA is restricted to secondary myogenesis, at the onset of the appearance of adult isoforms of beta-tropomyosin and myosin heavy chain. To determine the role of myogenin in the isoform switch of these contractile proteins, we characterized and directly compared the functional properties of myogenin with other myogenic regulatory factors in Xenopus embryos. Two distinct cDNAs related to myogenin, XmyogU1 and XmyogU2, were differentially expressed during myogenesis and in adult tissues, in which they preferentially accumulated in oxidative myofibers. Animal cap assays in Xenopus embryos revealed that myogenin, but not the other myogenic regulatory factors, induced expression of embryonic/larval isoforms of the beta-tropomyosin and myosin heavy chain genes. Only XmyogU1 induced expression of the adult fast isoform of the myosin heavy chain gene. This is the first demonstration of a specific transactivation of one set of muscle structural genes by myogenin.
Figure 1
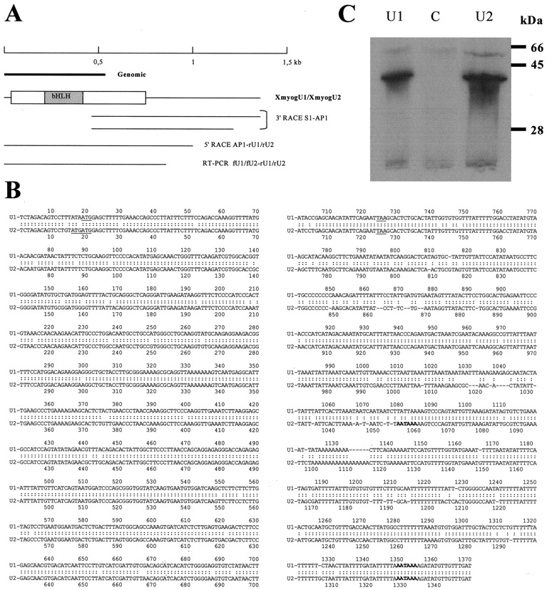
A, cloning strategy forXenopus myogenin cDNAs. RT-PCR and RACE fragments are shown with the oligonucleotide pairs used. The genomic segment represents the sequence cloned by Jennings (21). The full-length sequence of Xenopus myogenin is shown, and the basic helix-loop-helix region (bHLH) is boxed. Thescale bar is given in kilobases. B, nucleotide alignment of Xenopus myogenin cDNAs. The XmyogU1 and XmyogU2 cDNAs are 1370 and 1349 bp long, respectively, and contain a single open reading frame. Initiation and stop codons areunderlined. The poly(A) tail signals are inboldface. The shortest form of XmyogU2 ends at nucleotide 1098 (excluding the poly(A) tail). Identical nucleotides are indicated by dots. Dashes represent gaps introduced for optimal sequence alignment. The sequences were aligned using the LALIGN software (28). C, in vitro translation of XmyogU1 and XmyogU2 cDNAs. Proteins were synthesized in a reticulocyte lysate system using [35S]methionine as a labeled precursor with plasmid cDNA corresponding to XmyogU1 or XmyogU2 and no added cDNA (U1, U2, and C, respectively). Translation products were analyzed by SDS-PAGE. Protein molecular mass markers are indicated in kilodaltons.
Figure 2
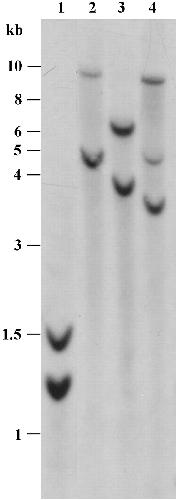
Southern blot analysis of Xenopusgenomic DNA. Genomic DNA was isolated from liver and digested with the following restriction enzymes. Lane 1,AvaII; lane 2, EcoRI; lane 3, HindIII; lane 4, PstI. After transfer, the blot was hybridized with a radiolabeled DNA probe that anneals with the coding region (nucleotides 1–480) of the two myogenin genes. At least two bands were detected in each lane. The sizes of DNA markers are indicated in kilobases.
Figure 3
Northern analysis of myogenin mRNA. A, during brachial (bra) and crural (cru) muscle regenerations; B, during crural (cru) muscle regeneration. Total RNA extracted from different days of muscle regeneration (indicated at the top of each panel) was loaded (40 μg on each lane) and tested by Northern blotting for the presence of Xenopus myogenin (Xmyog) and MyoD (XMyoD). Arrowsindicate the Xenopus myogenin hybridization signals (estimated to 1500 and 1300 nucleotides on the basis of the relative migration of the 18 S and 28 S rRNAs, respectively; not shown on the autoradiogram). The 18 S rRNA was hybridized also to serve as an internal standard control.
Figure 4
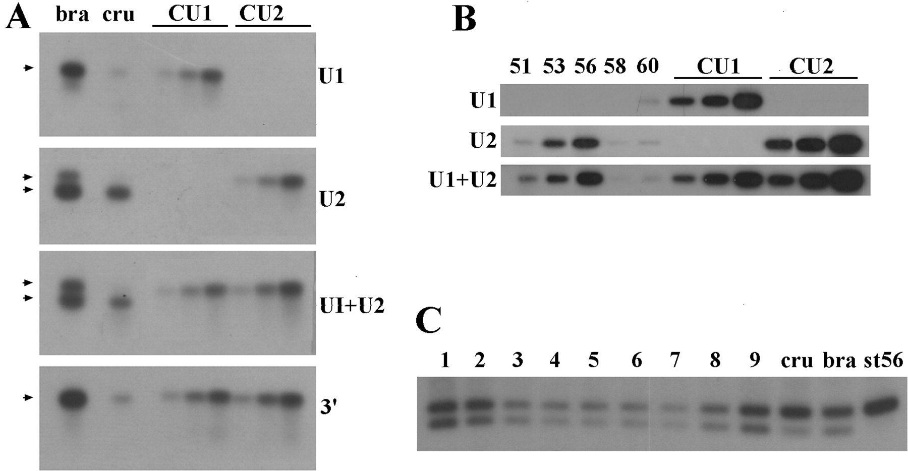
A, identification of each myogenin mRNA population by 3′-RACE. Total RNA was extracted from regenerating (15 days after injury) brachial (bra) and crural (cru) muscles. RNA (0.4 μg) was reverse-transcribed. A cDNA aliquot was used for 3′-RACE nonselective amplification of the 3′-end of any Xenopusmyogenin gene. B, expression of myogenin genes duringXenopus muscle development. Total RNA samples (0.4 μg) from dorsal muscles of Xenopus larvae and skeletal adult muscles were used to generate first-strand cDNA. Thenumbers refer to the developmental stages. Myogenin sequences were amplified using the S1/R1 primers, aiming for the non-selective amplification of XmyogU1 and XmyogU2 cDNAs.C, adult expression study. Lane 1, tibialis anterior; lane 2, adductor brevis dorsalis;lane 3, tibialis posterior; lane 4, semimembranosus; lane 5, iliofibularis; lane 6, gluteus maximus; lane 7, cruralis; lane 8, gastrocnemius; lane 9, sartorius. Additional tests were performed with regenerating crural (cru) and brachial (bra) muscles at 15 days of regeneration and with dorsal muscle at developmental stage 56 (st56). Myogenin sequences were amplified using the F1/Ro primers, aiming for the indiscriminate amplification of XmyogU1 and XmyogU2 cDNAs. The PCR products were digested with StyI, allowing for selective discrimination between XmyogU1 (lower bands) and XmyogU2 (upper bands). In all cases, the PCR experimental conditions were designed to avoid the saturation of PCR. In A andB, the PCR products were submitted to Southern blot detection of each Xenopus myogenin transcript with primers hU1, hU2, and hU12, specific to XmyogU1 (U1), XmyogU2 (U2), and both sequences (U1+U2), respectively. The h3 primer was specific to the 3′-end sequence of longXenopus myogenin transcripts (3′). Increasing concentrations (2, 4, and 8 ng) of XmyogU1 and XmyogU2 plasmid PCR products were used to check the hybridization reaction specificity (CU1 and CU2). In the adult study (C), the Southern blot was hybridized with radiolabeled S1 primer. Because the PCRs were not performed under the same conditions, no relevant comparison could be drawn on the basis of the hybridization signal intensity between adult muscle and/or regenerating or developing muscle.
Figure 5
Myogenin mRNA localization in adult iliofibularismuscle. In situ hybridization using antisense riboprobes to Xenopus myogenin (A andC) and succinate dehydrogenase histochemistry (Band D) were carried out on serial transverse sections. Dark-field photomicrographs are shown (A and C). Using sense riboprobes, we did not detect hybridization signals (data not shown). Numbers identify the five different fiber types, referred to as types 1â5 (38).
Figure 6
Transactivation specificities of theXenopus myogenin isoforms revealed in animal cap assays. Synthetic Xenopus MyoD (XMyoD), Myf5 (XMyf5), MRF4 (XMRF4), XmyogU1, XmyogU2, or elongation factor-1α (XEF1α) mRNA (2–3 ng) was bilaterally injected into the animal pole of two-cell stage embryos. The PCR conditions for each animal cap cDNA were designed to avoid PCR saturation and to enable semiquantitative determination. PCR was first performed with ornithine decarboxylase (ODC)-specific primers to standardize the reaction. Radiolabeled RT-PCR results with Xenopus cardiac α-actin (XαActin)-, embryonic/larval β-TM (Embβ-TM)-, MHC E3-, and MHC A7-specific primers are shown. No signal could be detected with adult β-TM (data not shown).
Figure 7
Amino acid sequence alignment of XmyogU1 and XmyogU2 with chicken (50), C. carpio (51), rat (2) and human (3), myogenin homologs. The numbers inparentheses indicated the amino acid residues for each sequence. Identical amino acid residues are indicated bydots. Dashes indicate gaps to assure the best sequence alignment. The Pbx-Meis/Prep1 domain from Cys75 to Lys86 (42) and the helix III domain from Gln206 to Ile219 (14) areunderlined. In the C-terminal region, the residues shown inboldface are conserved in at least six proteins. The sequences were aligned using the LALIGN software (28). X-U1, XmyogU1; X-U2, XmyogU2.