|
Fig. 1. Expression of somatic and germ cell-specific core promoter recognition factors in Xenopus. (A) RT-PCR analysis of TBP, TRF2, TRF3, ALF, TFIIAαβ and actin in heart (lane 1), liver (lane 2), lung (lane 3), kidney (lane 4), spleen (lane 5), ovary (lane 6), and testis (lane 7). (B) Expression of TBP family members in developing oocytes; stage I (lane 1), stage II (lane 2), stage III (lane 3), stage IV (lane 4), and stage V/VI (lane 5). Transcript levels in progesterone-treated (mature) oocytes are shown in lane 6. (C) Expression of TBP family members in eggs (lane 1) and embryos of stage 6.5 (lane 2), 12 (lane 3) and 35 (lane 4). Actin and 28/18S RNA levels are used as controls for normalization of RNA. |
|
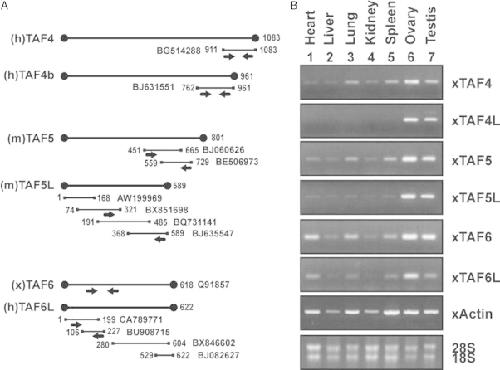
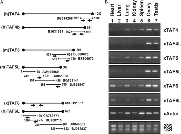
Fig. 2. Identification and Expression Xenopus TAF and TAF Variants. (A) Queries of Xenopus ESTs revealed two forms of TAF4, TAF5, and TAF6. Complete or partial EST sequences, indicated by their accession numbers, are shown aligned to corresponding human or mouse TAFs. The location of RT-PCR primers are indicated by arrows. (B) Xenopus TAF (TAFs 4, 5, and 6) and TAF-like (TAF4L, 5L, and 6L) transcripts were detected by RT-PCR using RNA from heart (lane 1), liver (lane 2), lung (lane 3), kidney (lane 4), spleen (lane 5), ovary (lane 6), and testis (lane 7). |
|
Fig. 3. Expression of somatic and germ cell-specific core promoter recognition factors in the mouse. (A) RT-PCR analysis of TBP, TRF2, TRF3, ALF, TFIIAαβ and actin in heart (lane 1), liver (lane 2), lung (lane 3), kidney (lane 4), spleen (lane 5), testis (lane 6), and ovary (lane 7). Actin and 28S and 18S rRNAs serve as controls. (B) Expression of TFIIAαβ, ALF, TBP, and TRF3 were evaluated in RNA from mouse oocytes stage 1–7 (lanes 1,4,7, and 10), metaphase II eggs (lanes 2,5,8, and 11), and zygotes (lanes 3,6,9, and 12). (C) Expression of TFIIAαβ, ALF, TBP, and TRF3 were evaluated in RNA from granulosa cells surrounding stage 1-7 oocytes (lanes 1,4,7, and 10), cumulus cells surrounding metaphase II eggs (lanes 2,5,8, and 11), and cumulus cells surrounding the zygote (lanes 3,6,9, and 12). (D) Expression of TRF2/TLF in samples described in parts B and C. M is molecular weight marker. |
|
Fig. 4. In situ hybridization detects core promoter factor gene expression during development of the mouse ovary. (A) Probes specific for ALF and TFIIAαβ (TFIIA-L) were hybridized to slices of mouse ovary taken from animals at day 6, 10, 15, 20, and 25 post-partum, and from adult animals (A). (B) Probes specific for TRF3 and TBP were hybridized to slices of adult mouse ovary. |
|
Fig. 5. Expression of TRF3 and ALF in mouse embryos. (A) RT-PCR analysis of TRF3 and ALF RNA levels in the embryonic gonadal tissue of females at embryonic days 13, 14, 15, 16, and 18 (lanes 1-5), and at days 0, 2, 4, 6, 8, and 10 post-partum (lanes 6–11). Results with a control somatic tissue liver is shown in lane 12. (B) RT-PCR analysis of TRF3 and ALF RNA levels in the embryonic gonadal tissue of males at embryonic days 13, 14, 15, 16, and 18 (lanes 1–5), at days 0, 2, 4, 6, 8, 10, 13, 14, and 15 post-partum (lanes 6–14), and in adult (lane 15). Results with a control somatic tissue liver is shown in lane 16. (C, D) Whole mount in situ hybridization reveals expression of ALF in the gonad of E14 (C) and E16 (D) male mouse embryos. (E) Expression of TBP, TRF3, TFIIAαβ, ALF, and TRF2 was examined in germinal vesicle oocytes (GV; lanes 1, 5, 9, and 13), eggs (E; lanes 2, 6, 10, and 14), zygotes (Z; lanes 3, 7, 11, and 15), and blastocysts (B; lanes 4, 8, 12, and 16). Actin mRNA levels are shown as a normalization control. M is molecular weight marker. |
|
Fig. 6. Formation of promoter recognition complexes composed of germ- and somatic cell-specific transcription factors. (A) Complexes formed in the presence of Adenovirus major late promoter DNA and either TRF3 (lanes 2-7) or TBP (lanes 9–14) depend on the addition of ALF or TFIIA. In this and subsequent panels the additions to each reaction are denoted at the top of the figure. (B) TRF3-ALF and TBP-ALF complexes are shifted by ALF-specific antibodies (lanes 3 and 10), while TBP-TFIIA and TRF3-TFIIA complexes are shifted by TFIIA-specific antibodies (lanes 7 and 14). (C) Addition of TRF3 to extracts from Xenopus oocytes generated a promoter DNA complex (lane 1) that was diminished in the presence of ALF-specific antibodies (lane 2) but unaffected by TFIIA-specific antibodies (lane 3). Addition of TRF3 to extracts from Xenopus embryos generated a promoter DNA complex (lane 4) that was unaffected by ALF-specific antibodies (lane 5) but was lost in the presence of TFIIA-specific antibodies (lane 6). NS refers to a non-specific complex. |
|
Fig. 7. A complex array of expression patterns for core promoter transcription factors during oogenesis and spermatogenesis. Each graph gives an approximate indication of transcript levels (solid lines) and protein levels (dashed lines) for several different transcription factors as determined from this report and from available literature (noted in text). For females, times are divided into Oogenesis, Oocyte Maturation, Fertilization, and Zygotic Gene Expression. For males, times are divided into Spermatogonia (pre-meiotic), Meiosis, and Spermiogenesis (post-meiotic). The factors which best fit a particular graph are shown to the side. |