XB-ART-8617
Genes Dev
2001 Aug 01;1515:1885-99. doi: 10.1101/gad.908101.
Show Gene links
Show Anatomy links
Nrarp is a novel intracellular component of the Notch signaling pathway.
???displayArticle.abstract???
The Lin12/Notch receptors regulate cell fate during embryogenesis by activating the expression of downstream target genes. These receptors signal via their intracellular domain (ICD), which is released from the plasma membrane by proteolytic processing and associates in the nucleus with the CSL family of DNA-binding proteins to form a transcriptional activator. How the CSL/ICD complex activates transcription and how this complex is regulated during development remains poorly understood. Here we describe Nrarp as a new intracellular component of the Notch signaling pathway in Xenopus embryos. Nrarp is a member of the Delta-Notch synexpression group and encodes a small protein containing two ankyrin repeats. Nrarp expression is activated in Xenopus embryos by the CSL-dependent Notch pathway. Conversely, overexpression of Nrarp in embryos blocks Notch signaling and inhibits the activation of Notch target genes by ICD. We show that Nrarp forms a ternary complex with the ICD of XNotch1 and the CSL protein XSu(H) and that in embryos Nrarp promotes the loss of ICD. By down-regulating ICD levels, Nrarp could function as a negative feedback regulator of Notch signaling that attenuates ICD-mediated transcription.
???displayArticle.pubmedLink??? 11485984
???displayArticle.pmcLink??? PMC312752
???displayArticle.link??? Genes Dev
Species referenced: Xenopus laevis
Genes referenced: ank1 clstn2 dll1 esr-5 esr1 hdac3 hes5 hes6.2 hes7.2 isyna1 maml1 myc neurog1 nog notch1 nrarp rbpj smpx tuba4a tubb2b
???attribute.lit??? ???displayArticles.show???
|
|
Figure 1. Predicted protein product of Nrarp. (A) Nrarp encodes a small novel protein of 114 amino acids. Analysis using the SMART program predicts two tandem ankyrin repeats (Ankyrin Repeats 1 and 2) that constitute the carboxyl half of the protein. Nrarptr is truncated after amino acid 51. (B) BLAST homology search of the EST databases identifies rat and zebrafish homologs that are nearly identical in amino acid sequence. |
|
|
Figure 2. Expression of Nrarp mirrors that of other Notch pathway genes. Xenopus embryos were stained for the expression of Nrarp RNA using whole-mount in situ hybridization. (A) Nrarp expression at early neurulae stages. Shown is a dorsal view with anterior oriented to the left. Note that Nrarp RNA is expressed at high levels in the neural plate, localizing to the three bilateral domains where the Notch pathway is known to operate during the formation of the primary neurons (M, medial; I, intermediate; L, lateral). In addition, NrarpRNA can be detected in the paraxial mesoderm (PM). (B,C) For comparison, note that the expression pattern of Nrarp is similar to that of XDelta1(B) and ESR1 (C). (D) Expression ofNrarp RNA in a tadpole embryo stained in whole mount. Shown is a side view of the anterior end with anterior oriented to the left. Note expression in the eye (EY), neural tube (NT), and branchial arches (BA). (E) Tissue section of an embryo as in panel Dshows that the expression of Nrarp RNA in the neural tube is confined to the ventricular zone where neurogenesis occurs. (F) Expression of Nrarp occurs at high levels in the outgrowing tailbud where Notch signaling is known to play a role in segmentation. High levels of Nrarp expression are apparent in the most posterior portion of the presomitic mesoderm called the tailbud domain (TBD) and in segments in a region containing prospective somites. This expression pattern in the presomitic mesoderm closely parallels that of XDelta2 and two Notch target genes,ESR4 and ESR5. |
|
|
Figure 3. Nrarp expression is regulated by the CSL-dependent Notch pathway. (A) Xenopus embryos at the two-cell stage were injected with RNA encoding ICD, XSu(H)Ank, or XSu(H)DBM along with LacZ RNA as a tracer. At neural plate stages, embryos were fixed, stained for β-galactosidase activity, and analyzed for expression of Nrarp using whole-mount in situ hybridization. Shown is a dorsal view of the neural plate with anterior oriented to the left and the injected side of the embryos oriented up. Note that both ICD and XSu(H)Ank induce high levels of Nrarp expression, whereas XSu(H)DBM inhibits the expression ofNrarp. (B) Xenopus embryos at the two-cell stage were injected with RNA encoding Xenopus neurogenin (Ngn1) or various components of the Notch pathway, along with RNA encoding the neural inducer Noggin. (DBM) DNA-binding mutant of XSu(H); ICDδC is depicted in Figure 6B. Neuralized ectoderm was removed from embryos at blastula stages and assayed at stage 16 (early neurulae) for the expression of Nrarp, ESR1, and HES6 RNA using an RNase protection assay (RPA) (Wettstein et al. 1997). Each sample was also assayed for EF-1α RNA expression as a loading control. Note that Nrarp expression is activated by Notch signaling induced using either activated forms of the receptor, XSu(H), or with ectopic ligand expression. |
|
|
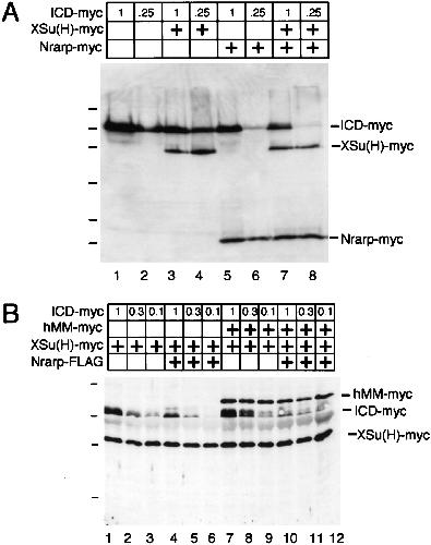
Figure 6. Nrarp forms a complex with XSu(H) and ICD. (A) RNA encoding myc-tagged forms of ICD and XSu(H) was injected along with Flag-tagged Nrarp into two-cell stage embryos. Extracts were prepared from animal tissue at blastula stages and subjected to Western analysis either directly (left; Extracts) or after coimmunoprecipitation (co-IP) with an α-Flag antibody (right; αFLAG IP) as described in the Materials and Methods. The myc-tagged proteins on Western blots were detected using the 9E10 α-myc monoclonal antibody, a secondary α-mouse IgG conjugated with horseradish peroxidase, and the ECL reagent. Note that neither ICD (lane 6) nor XSu(H) (lane 7) co-IP with Flag-tagged Nrarp unless both are present (lane 8). (H and L) Position of heavy and light chains, respectively, of the α-Flag antibody in this and subsequent figures. Similarly, the position of molecular weight markers is denoted here and elsewhere by a series of hatches left of the panel. (B) Diagram of the various forms of ICD and XSu(H) used for deletion analysis. Note that these deletions of ICD include a nuclear localization signal (NLS) that was added by cloning into the CS2-NLS vector (Turner and Weintraub 1994). (C) Co-IP of various myc-tagged ICD and XSu(H) with Nrarp-Flag. Shown is the Western analysis using the α-myc antibody of total extracts (top) or a co-IP with the α-Flag antibody (bottom). Note that both XSu(H)-myc and ICD-myc co-IP with Nrarp-Flag when all three are present (lane 5), but that this complex does not form with a truncated form of XSu(H) (lane 2). Moreover, both ICDδC-myc (lane6) and ICDAnk-myc (lane 8) form a complex with XSu(H)-myc and ICD-myc, but ICDram23-myc (lane 7) does not. Note that XSu(H)-myc and ICDδC-myc comigrate at the same position on the gel. (D) Co-IP and Western analysis of embryo extracts expressing XSu(H)-Flag, as well as ICD-myc and Nrarp-myc. (Top) Western analysis of total extracts with the α-myc antibody; (bottom) same analysis of the proteins co-IPed with XSu(H)-Flag. Note that the amount of ICD associated with XSu(H) increases in the presence of Nrarp (cf. lanes 4 and6). Similar results are obtained with ICDδC (cf. lanes7 and 8) and ICDAnk (cf. lanes 11 and12) but not with ICDram23 (cf. lanes 9 and10). Note also that Nrarp-myc co-IPs with XSu(H)-Flag in the presence of ICD-myc (lane 6), ICDδC-myc (lane 8), and ICDAnk-myc (lane 12), but not ICDram23-myc (lane10). |
|
|
Figure 4. Nrarp overexpression blocks Notch signaling in embryos. Xenopus embryos at the two-cell stage were injected with RNA encoding Nrarp along with LacZ RNA as a tracer. At neural plate stages, embryos were fixed, stained for β-galactosidase expression, and double-labeled by whole-mount in situ hybridization for markers of neurons or ciliated cell precursors. (A) Nrarp overexpression induces the formation of additional primary neurons (arrow) as shown by the expression of a neural isoform of β-tubulin (N-Tub). Shown is dorsal view of the neural plate with the injected side oriented to the top of the panel. (B,C) Nrarp overexpression induces additional ciliated cell precursors that form in the skin as shown by the expression of an isoform of α-tubulin (α-Tub) (Deblandre et al. 1999). The uninjected and injected sides of the same embryo are shown in panels B and C, respectively. (DâF) Dorsal view of the neural plate with the injected side oriented up. Note that Nrarp overexpression induces more XDelta1 expression (D) but reduces the expression of ESR1 when scored at stage 12 or stage 14 (E and F, respectively). |
|
|
Figure 6. Nrarp forms a complex with XSu(H) and ICD. (A) RNA encoding myc-tagged forms of ICD and XSu(H) was injected along with Flag-tagged Nrarp into two-cell stage embryos. Extracts were prepared from animal tissue at blastula stages and subjected to Western analysis either directly (left; Extracts) or after coimmunoprecipitation (co-IP) with an α-Flag antibody (right; αFLAG IP) as described in the Materials and Methods. The myc-tagged proteins on Western blots were detected using the 9E10 α-myc monoclonal antibody, a secondary α-mouse IgG conjugated with horseradish peroxidase, and the ECL reagent. Note that neither ICD (lane 6) nor XSu(H) (lane 7) co-IP with Flag-tagged Nrarp unless both are present (lane 8). (H and L) Position of heavy and light chains, respectively, of the α-Flag antibody in this and subsequent figures. Similarly, the position of molecular weight markers is denoted here and elsewhere by a series of hatches left of the panel. (B) Diagram of the various forms of ICD and XSu(H) used for deletion analysis. Note that these deletions of ICD include a nuclear localization signal (NLS) that was added by cloning into the CS2-NLS vector (Turner and Weintraub 1994). (C) Co-IP of various myc-tagged ICD and XSu(H) with Nrarp-Flag. Shown is the Western analysis using the α-myc antibody of total extracts (top) or a co-IP with the α-Flag antibody (bottom). Note that both XSu(H)-myc and ICD-myc co-IP with Nrarp-Flag when all three are present (lane 5), but that this complex does not form with a truncated form of XSu(H) (lane 2). Moreover, both ICDδC-myc (lane6) and ICDAnk-myc (lane 8) form a complex with XSu(H)-myc and ICD-myc, but ICDram23-myc (lane 7) does not. Note that XSu(H)-myc and ICDδC-myc comigrate at the same position on the gel. (D) Co-IP and Western analysis of embryo extracts expressing XSu(H)-Flag, as well as ICD-myc and Nrarp-myc. (Top) Western analysis of total extracts with the α-myc antibody; (bottom) same analysis of the proteins co-IPed with XSu(H)-Flag. Note that the amount of ICD associated with XSu(H) increases in the presence of Nrarp (cf. lanes 4 and6). Similar results are obtained with ICDδC (cf. lanes7 and 8) and ICDAnk (cf. lanes 11 and12) but not with ICDram23 (cf. lanes 9 and10). Note also that Nrarp-myc co-IPs with XSu(H)-Flag in the presence of ICD-myc (lane 6), ICDδC-myc (lane 8), and ICDAnk-myc (lane 12), but not ICDram23-myc (lane10). |
|
|
Figure 7. The Nrarp complex can include Mastermind. (A) Human Mastermind (hMM) forms a complex with XSu(H) and ICD. Embryo extracts expressing Flag-tagged XSu(H), as well as myc-tagged ICDδC, Nrarp, and human Mastermind were subjected to co-IP and Western analysis using an α-myc antibody. (Top) Total extracts; (bottom) products that co-IP with an α-Flag antibody. Note that hMM binds to Su(H), but only in the presence of ICDδC, and increases the levels of ICDδC associated with XSu(H) (lane 8 vs. lane 6). Inclusion of Nrarp forms a complex that is co-IPed with XSu(H) (lane 9). (B) Co-IP and Western analysis of embryo extracts expressing Nrarp-Flag, XSu(H)-myc, ICD-myc, and hMM-myc. Note that hMM is included in a co-IP complex with ICD and XSu(H) that is recovered using Nrarp-Flag (lane5, bottom). The low levels of ICD and hMM recovered in lane 4 presumably reflect the fact that XSu(H) is expressed ubiquitously and thus already present in extracts. |
|
|
Figure 8. Nrarp reduces the levels of ICD in total cell extracts. (A) Two different concentrations of RNA encoding ICD-myc were injected into embryos alone or in the presence of XSu(H)-myc and Nrarp-myc. Shown is a Western analysis of the extracts prepared from these embryos using an α-myc antibody. Note that the presence of Nrarp decreases the levels of ICD-myc in the extracts (cf. lanes 6 and 2), and this decrease is greater in the presence of XSu(H) (cf. lanes 8 and 6). (B) Three different levels of ICD RNA were injected into embryos along with XSu(H)-myc in the presence and absence of Nrarp-Flag or hMM-myc. Shown is a Western blot with total extracts probed with a anti-myc antibody. Note that hMM-myc does not detectably change the levels of ICD-myc (lanes 7â9; see also Fig. 7A), nor does hMM-myc block the degradation promoted by Nrarp-Flag (lanes 10â12). |
|
|
Figure 9. Nrarp potentiates Su(H)-dependent ICD activity in vitro. (A) HeLa cells were transfected transiently with a luciferase reporter containing multimerized Su(H) binding sites plus effectors. (Left) Activation of the reporter by ICD, ICD plus increasing levels of Nrarp, and ICD plus hMM. Cells were transfected with an ICD expression vector at a level resulting in submaximal (sixfold) activation. For details of transfection conditions see Materials and Methods. Cotransfection of Nrarp with ICD produced an approximately sevenfold increase in activity over ICD alone, an increase comparable to that seen with cotransfection of hMM with ICD. (Right) When ICD was transfected at levels producing higher activation of the reporter (30-fold), addition of Nrarp or hMM with ICD had little effect on activity. A combination of both Nrarp and hMM with ICD, however, produced an approximately threefold increase in activity over ICD alone. Bars represent means of triplicate measurements, and the standard error of the mean is shown. The activity of the reporter alone is defined arbitrarily as 1. Luciferase values are normalized to the activity of a cotransfected β-galactosidase vector. (B) Co-IP and Western analysis of 293T cells transfected with a tagged form of Nrarp (Nrarp-flag), as well as with myc-tagged forms of ICD and XSu(H). (Top) Western analysis of cell extracts with the α-myc antibody; (bottom) parallel analysis of proteins co-IPed with Nrarp-Flag. Note that ICD-myc or XSu(H)-myc coprecipitate with Nrarp only in a ternary complex (cf. lane 3and lanes 2,5). (C) Reporter assay and (D) corresponding Western blot of Nrarp-myc cotransfected with ICD-myc in HeLa cells. In this experiment a modest potentiation of luciferase activity is observed when Nrarp-myc is cotransfected with high levels of ICD-myc, as is the case in the right panel ofA. However, in HeLa cells no degradation of ICD-myc is observed in the presence of even the highest levels of Nrarp-myc. |
|
|
Figure 10. Model for Nrarp feedback regulation of Notch signaling. (A) In the absence of ICD, the CSL proteins associate with HDAC-containing complexes, thereby repressing transcription of Notch target genes. (B) On Notch signaling, ICD is released from the membrane and forms a complex with the CSL proteins and Mastermind (MM), thereby generating a transcriptional activator of Notch target genes, including Nrarp. (C) Nrarp feeds back and forms a complex with the CSL proteins, ICD, and Mastermind, which leads indirectly to a degradation of ICD. (D) Loss of ICD precludes the further association of Mastermind and Nrarp with the CSL proteins, thereby converting these proteins back into transcriptional repressors. |
|
|
nrarp (NOTCH-regulated ankyrin repeat protein) gene expression in Xenopus laevis embryo, assayed via in situ hybridization, NF stage 16, dorsal view, anterior left. |
|
|
nrarp (NOTCH-regulated ankyrin repeat protein) gene expression in Xenopus laevis embryo, assayed via in situ hybridization, NF stage 26, lateral view, anterior left, dorsal up. |
References [+] :
Artavanis-Tsakonas,
Notch signaling: cell fate control and signal integration in development.
1999, Pubmed
Artavanis-Tsakonas, Notch signaling: cell fate control and signal integration in development. 1999, Pubmed
Beatus, Notch and neurogenesis. 1998, Pubmed , Xenbase
Bray, Notch pathway: making sense of suppressor of hairless. 2001, Pubmed
Brou, A novel proteolytic cleavage involved in Notch signaling: the role of the disintegrin-metalloprotease TACE. 2000, Pubmed
Chitnis, Primary neurogenesis in Xenopus embryos regulated by a homologue of the Drosophila neurogenic gene Delta. 1995, Pubmed , Xenbase
Chitnis, Neural induction and neurogenesis in amphibian embryos. 1995, Pubmed , Xenbase
Deblandre, A two-step mechanism generates the spacing pattern of the ciliated cells in the skin of Xenopus embryos. 1999, Pubmed , Xenbase
Deftos, Notch signaling in T cell development. 2000, Pubmed
De Strooper, A presenilin-1-dependent gamma-secretase-like protease mediates release of Notch intracellular domain. 1999, Pubmed
Detrick, The effects of N-cadherin misexpression on morphogenesis in Xenopus embryos. 1990, Pubmed , Xenbase
Doyle, SEL-8, a nuclear protein required for LIN-12 and GLP-1 signaling in Caenorhabditis elegans. 2000, Pubmed
Fortini, The suppressor of hairless protein participates in notch receptor signaling. 1994, Pubmed
Gawantka, Gene expression screening in Xenopus identifies molecular pathways, predicts gene function and provides a global view of embryonic patterning. 1998, Pubmed , Xenbase
Gridley, Notch signaling in vertebrate development and disease. 1997, Pubmed
Harland, In situ hybridization: an improved whole-mount method for Xenopus embryos. 1991, Pubmed , Xenbase
Helms, Engineered truncations in the Drosophila mastermind protein disrupt Notch pathway function. 1999, Pubmed
Hsieh, CIR, a corepressor linking the DNA binding factor CBF1 to the histone deacetylase complex. 1999, Pubmed
Hsieh, Truncated mammalian Notch1 activates CBF1/RBPJk-repressed genes by a mechanism resembling that of Epstein-Barr virus EBNA2. 1996, Pubmed
Jarriault, Signalling downstream of activated mammalian Notch. 1995, Pubmed
Jen, Periodic repression of Notch pathway genes governs the segmentation of Xenopus embryos. 1999, Pubmed , Xenbase
Joutel, Notch signalling pathway and human diseases. 1998, Pubmed
Kadesch, Notch signaling: a dance of proteins changing partners. 2000, Pubmed
Kao, A histone deacetylase corepressor complex regulates the Notch signal transduction pathway. 1998, Pubmed , Xenbase
Kato, Involvement of RBP-J in biological functions of mouse Notch1 and its derivatives. 1997, Pubmed
Knecht, Dorsal-ventral patterning and differentiation of noggin-induced neural tissue in the absence of mesoderm. 1995, Pubmed , Xenbase
Kodoyianni, Molecular basis of loss-of-function mutations in the glp-1 gene of Caenorhabditis elegans. 1992, Pubmed
Kopan, The intracellular domain of mouse Notch: a constitutively activated repressor of myogenesis directed at the basic helix-loop-helix region of MyoD. 1994, Pubmed
Koyano-Nakagawa, Activation of Xenopus genes required for lateral inhibition and neuronal differentiation during primary neurogenesis. 1999, Pubmed , Xenbase
Koyano-Nakagawa, Hes6 acts in a positive feedback loop with the neurogenins to promote neuronal differentiation. 2000, Pubmed , Xenbase
Krebs, Notch signaling is essential for vascular morphogenesis in mice. 2000, Pubmed
Kurooka, Functional interaction between the mouse notch1 intracellular region and histone acetyltransferases PCAF and GCN5. 2000, Pubmed
Lamb, Neural induction by the secreted polypeptide noggin. 1993, Pubmed , Xenbase
Lin, Activation of the Notch pathway in the hair cortex leads to aberrant differentiation of the adjacent hair-shaft layers. 2000, Pubmed
Logeat, The Notch1 receptor is cleaved constitutively by a furin-like convertase. 1998, Pubmed
Lowell, Stimulation of human epidermal differentiation by delta-notch signalling at the boundaries of stem-cell clusters. 2000, Pubmed
Morel, Repression by suppressor of hairless and activation by Notch are required to define a single row of single-minded expressing cells in the Drosophila embryo. 2000, Pubmed
Mumm, A ligand-induced extracellular cleavage regulates gamma-secretase-like proteolytic activation of Notch1. 2000, Pubmed
Mumm, Notch signaling: from the outside in. 2000, Pubmed
Nawaz, Proteasome-dependent degradation of the human estrogen receptor. 1999, Pubmed
Nellesen, Discrete enhancer elements mediate selective responsiveness of enhancer of split complex genes to common transcriptional activators. 1999, Pubmed
Niehrs, Synexpression groups in eukaryotes. 1999, Pubmed , Xenbase
Oschwald, Localization of a nervous system-specific class II beta-tubulin gene in Xenopus laevis embryos by whole-mount in situ hybridization. 1991, Pubmed , Xenbase
Petcherski, LAG-3 is a putative transcriptional activator in the C. elegans Notch pathway. 2000, Pubmed
Petcherski, Mastermind is a putative activator for Notch. 2000, Pubmed
Pourquié, Notch around the clock. 1999, Pubmed , Xenbase
Roehl, Roles of the RAM and ANK domains in signaling by the C. elegans GLP-1 receptor. 1996, Pubmed
Roehl, Control of cell fate in C. elegans by a GLP-1 peptide consisting primarily of ankyrin repeats. 1993, Pubmed
Schroeter, Notch-1 signalling requires ligand-induced proteolytic release of intracellular domain. 1998, Pubmed
Struhl, Presenilin is required for activity and nuclear access of Notch in Drosophila. 1999, Pubmed
Takke, her4, a zebrafish homologue of the Drosophila neurogenic gene E(spl), is a target of NOTCH signalling. 1999, Pubmed , Xenbase
Tamura, Physical interaction between a novel domain of the receptor Notch and the transcription factor RBP-J kappa/Su(H). 1995, Pubmed
Thomas, Transcriptional regulation: Kamikaze activators. 2000, Pubmed
Turner, Expression of achaete-scute homolog 3 in Xenopus embryos converts ectodermal cells to a neural fate. 1994, Pubmed , Xenbase
Wang, Up a notch: instructing gliogenesis. 2000, Pubmed
Weinmaster, Notch signal transduction: a real rip and more. 2000, Pubmed
Weinmaster, Notch signaling: direct or what? 1998, Pubmed
Wettstein, The Xenopus homolog of Drosophila Suppressor of Hairless mediates Notch signaling during primary neurogenesis. 1997, Pubmed , Xenbase
Wu, MAML1, a human homologue of Drosophila mastermind, is a transcriptional co-activator for NOTCH receptors. 2000, Pubmed
Wu, c-Kit triggers dual phosphorylations, which couple activation and degradation of the essential melanocyte factor Mi. 2000, Pubmed
Ye, Neurogenic phenotypes and altered Notch processing in Drosophila Presenilin mutants. 1999, Pubmed
Zhou, SKIP, a CBF1-associated protein, interacts with the ankyrin repeat domain of NotchIC To facilitate NotchIC function. 2000, Pubmed
