Click here to close
Hello! We notice that you are using Internet Explorer, which is not supported by Xenbase and may cause the site to display incorrectly.
We suggest using a current version of Chrome,
FireFox, or Safari.
???displayArticle.abstract???
The direct developing frog, Eleutherodactylus coqui, develops from a large egg (diameter 3.5 mm). To investigate the effect of egg size on germ-layer formation, we studied mesoderm formation in E. coqui and compared it to that of Xenopus laevis (diameter 1.3 mm). First, we identified the position of prospective mesoderm in the 16-cell E. coqui embryo by cell-lineage tracing. Although the animal blastomeres are small, they form most of the blastocoel roof and make extensive contributions to some mesodermal tissues. Second, we performed recombinant analysis with X. laevis animal caps to define the distribution of mesoderm-inducing activity. Mesoderm-inducing activity in E. coqui was restricted around the marginal zone with strong activity in the superficial cells. Neither the vegetal pole nor the blastocoel floor had activity, although these same regions from X. laevis induced mesoderm. Third, we cloned Ecbra, a homologue of Xbra, an early mesoderm marker in X. laevis. Ecbra was expressed in the marginal ring close to the surface, similar to X. laevis, but E. coqui had weaker expression on the dorsal side. Our results suggest that mesoderm formation is shifted more animally and superficially in E. coqui compared to X. laevis.
FIG. 1. Comparison of blastopore formation in E. coqui and X. laevis. Sections through the midsagittal plane in early gastrulae stained
with Azan stain (0.5% phosphotungstic acid, 1% orange G, 0.5% aniline blue, 1.5% acid fuchsin, 0.2 M Na2HPO4, 0.1 M citric acid). The
blastopore (bp) formed equatorially in E. coqui (A) and subequatorially in X. laevis (B). Bar, 500 mm.
FIG. 2. Comparison of the early cleavage pattern in E. coqui and X. laevis. The first horizontal cleavage occurs at fourth cleavage (16-cell
stage) in E. coqui (left) and at third cleavage (8-cell stage) in X. laevis (right). Animal view. Bar, 1 mm.
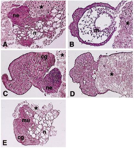
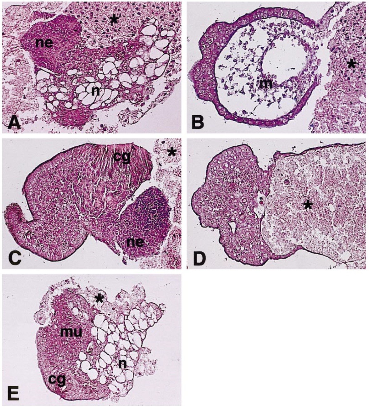
FIG. 5. Histology of X. laevis animal cap and E. coqui early gastrula (*) recombinants. (A) Recombinant with E. coqui dorsal marginal
zone (DM) showed dorsal type differentiation, including notochord (n) and neural tissue (ne). (B) Recombinant with E. coqui ventral
marginal zone (VM) showed ventral type differentiation such as mesothelium (m). (C) Recombinant with E. coqui dorsal blastocoel
floor (DBF) formed neural tissue (ne) and cement gland (cg) without any dorsal mesodermal tissues. (D) Recombinant with E. coqui
dorsal vegetal pole (DVP) differentiated only atypical epidermis. (E) Recombinant with E. coqui outer dorsal marginal zone (ODM)
showed prominent dorsal mesoderm differentiation, including notochord (n) and muscle (mu), despite the small amount of E. coqui
tissue (*).
FIG. 6. Summary of mesoderm- and neural-inducing activities in E. coqui and X. laevis embryos. The percentages indicated by the
different colors (mesoderm induction) and dot patterns (neural induction) are the frequencies of differentiation in X. laevis animal caps
combined with each tissue. In E. coqui, there was little inducing activity in early blastula. In the late blastula, mesoderm-inducing activity
was seen in the marginal and submarginal zones. Cells of neither the vegetal pole nor the blastocoel floor had activity, although these same
regions from X. laevis blastulae induced mesoderm. In the early gastrula of E. coqui, mesoderm-inducing activity remained confined to the
marginal and submarginal zones, with strong activity in the outer layer of cells (ODM, ODSM, OVM/SM). Mesoderm-inducing activity
extended to deeper cells in the X. laevis early gastrula, although the activity was weaker than the outer layer of the cells. Neural-inducing
activity was present on the dorsal side, including deep cells, which did not have mesoderm-inducing activity in E. coqui. In the X. laevis
early gastrula, neural-inducing activity was restricted to the dorsal marginal zone. AC, animal cap; BF, blastocoel floor; DBF, dorsal
blastocoel floor; DM, dorsal marginal zone; DSM, dorsal submarginal zone; DVP, dorsal vegetal pole; IDSM, inner dorsal submarginal zone;
IVM/SM, inner ventral marginal zone/submarginal zone; M, marginal zone; OAC, outer animal cap; ODM, outer dorsal marginal zone;
ODSM, outer dorsal submarginal zone; OVM/SM, outer ventral marginal zone/submarginal zone; SM, submarginal zone; VBF, ventralblastocoel floor; VM, ventral marginal zone; VSM, ventral submarginal zone; VP, vegetal pole; VVP, ventralvegetal pole.