Click here to close
Hello! We notice that you are using Internet Explorer, which is not supported by Xenbase and may cause the site to display incorrectly.
We suggest using a current version of Chrome,
FireFox, or Safari.
???displayArticle.abstract???
Two important features of amphibian metamorphosis are the sequential response of tissues to different concentrations of thyroid hormone (TH) and the development of the negative feedback loop between the pituitary and the thyroid gland that regulates TH synthesis by the thyroid gland. At the climax of metamorphosis in Xenopus laevis (when the TH level is highest), the ratio of the circulating precursor thyroxine (T4) to the active form 3,5,3'-triiodothyronine (T3) in the blood is many times higher than it is in tissues. This difference is because of the conversion of T4 to T3 in target cells of the tadpole catalyzed by the enzyme type II iodothyronine deiodinase (D2) and the local effect (cell autonomy) of this activity. Limb buds and tails express D2 early and late in metamorphosis, respectively, correlating with the time that these organs undergo TH-induced change. T(3) is required to complete metamorphosis because the peak concentration of T4 that is reached at metamorphic climax cannot induce the final morphological changes. At the climax of metamorphosis, D2 expression is activated specifically in the anterior pituitary cells that express the genes for thyroid-stimulating hormone but not in the cells that express proopiomelanocortin. Physiological concentrations of T3 but not T4 can suppress thyrotropin subunit beta gene expression. The timing and the remarkable specificity of D2 expression in the thyrotrophs of the anterior pituitary coupled with the requirement for locally synthesized T3 strongly support a role for D2 in the onset of the negative feedback loop at the climax of metamorphosis.
Fig. 1. (A) Sibling tadpoles grown in 1 mM methimazole for several weeks.
Control tadpole (Right) at stage 53 treated for 8 days with 3 nMT3 (Center) and
3 nM T4 (Left). They were stained for cartilage with Alcian blue. (B) Tadpole
grown for 2 months in 1mMmethimazoley10 mMiopanoic acidy5 nMT4. In 1
month, the tadpole developed to stage 59 but then did not change further
during the final month of treatment.
Fig. 2. Developmental Northern blots with simultaneous hybridization with
D2 and D3 mRNAs. (A) Total tail RNA. (B) Hind-limb total RNA. (C) Pituitary
total RNA. This blot was hybridized only with the D2 probe. The numbers on
the tops of the lanes are tadpole stages.
Fig. 3. (A) Conversion of T4 to T3 in tadpolelimb buds but not tailtissue.
Stage-54 tadpoles were reared in methimazole with or without iopanoic acid
for 24 h and then incubated with [125I]T4 for 24 h followed by nonradioactive
medium for another 24 h. Limbs and tails were extracted in methanol for
radioactive TH, and the concentrated extracts were chromatographed. A lane
contains extract from four hind limbs or one tail. Hind limb (lane 1), tail (lane
2), and hind limb with iopanoic acid (lane 3). (B) Stage-59 tadpoles were
incubated in either iopanoic acid (IOP) or methimazole (MET) for 1 day and
then were incubated for a day in 0.5 mCiyml radioactive NaI. TH was extracted
from whole tadpoles and separated by TLC. Duplicate samples were chromatographed,
and each lane represents about one-third of a tadpole. CON,
control.
Fig. 4. Northern blot of various pituitary and hypothalamic hormones. Total
RNA was purified from pituitary and part of the brain (from midbrain to
cerebellum) of individual animals, and the entire sample was loaded in a lane.
The tadpoles treated with methimazole (MET) for several months were arrested
at stage 53, judging from the limb criteria. Two normal stage-53
tadpoles and 2 stage-66 froglets were used as controls. The same blot was
hybridized successively with the radioactive probes.
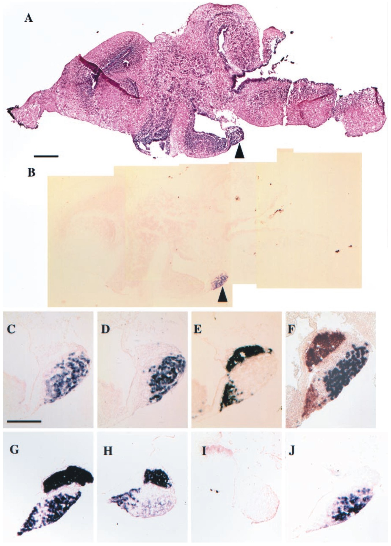
Fig. 5. In situ hybridization of sagittal sections of the pituitary (arrowhead) of stage-62 brains. (A) Hematoxylin and eosin stain. (BâJ) In situ hybridization. (B)
D2 in situ in a section adjacent to A. (C) Higher magnification of D2 in the pituitary in B. (D) TSHb. (E) POMC. (F) Simultaneous in situ with POMC (orange) and
TSHb (purple). (GâJ) Stage-58 tadpoles treated for 4 days with methimazole and iopanoic acid. (G and H) Simultaneous POMC and TSHb in situ, but both probes
were labeled with digoxigenin. (G) Stage-58 tadpoles treated for another 4 days with 10 nM T4. (H) Same as G, but treated for another 4 days with 10 nM T3.
(I) D2 in situ of doubly inhibited stage-58 tadpole. (J) Same as I except treated for 4 days with 10 nM T4. (Bar for A and B 5 200 mm.) (Bar for CâJ 5 100 mm.) In
all figures, anterior is left and dorsal is up.
Auf dem Brinke,
Subcellular localization of thyroxine-5-deiodinase in rat liver.
1980, Pubmed
Auf dem Brinke,
Subcellular localization of thyroxine-5-deiodinase in rat liver.
1980,
Pubmed Becker,
The type 2 and type 3 iodothyronine deiodinases play important roles in coordinating development in Rana catesbeiana tadpoles.
1997,
Pubmed Berry,
The expression pattern of thyroid hormone response genes in remodeling tadpole tissues defines distinct growth and resorption gene expression programs.
1998,
Pubmed
,
Xenbase Berry,
The expression pattern of thyroid hormone response genes in the tadpole tail identifies multiple resorption programs.
1998,
Pubmed
,
Xenbase Borrelli,
Transgenic mice with inducible dwarfism.
1989,
Pubmed Buckbinder,
Expression of the Xenopus laevis prolactin and thyrotropin genes during metamorphosis.
1993,
Pubmed
,
Xenbase Croteau,
Cloning of the mammalian type II iodothyronine deiodinase. A selenoprotein differentially expressed and regulated in human and rat brain and other tissues.
1996,
Pubmed Davey,
Cloning of a cDNA for the type II iodothyronine deiodinase.
1995,
Pubmed
,
Xenbase Denver,
Acceleration of anuran amphibian metamorphosis by corticotropin-releasing hormone-like peptides.
1993,
Pubmed Eliceiri,
Quantitation of endogenous thyroid hormone receptors alpha and beta during embryogenesis and metamorphosis in Xenopus laevis.
1994,
Pubmed
,
Xenbase Fekkes,
Location of rat liver iodothyronine deiodinating enzymes in the endoplasmic reticulum.
1979,
Pubmed Frieden,
Thyromimetic activity of methylthyronines in the bullfrog tadpole.
1974,
Pubmed Gancedo,
Corticotropin-releasing factor stimulates metamorphosis and increases thyroid hormone concentration in prometamorphic Rana perezi larvae.
1992,
Pubmed Hayashi,
Amphibian lutropin from the bullfrog Rana catesbeiana. Complete amino acid sequence of the beta subunit.
1992,
Pubmed Hayes,
Correlated onset and patterning of proopiomelanocortin gene expression in embryonic Xenopus brain and pituitary.
1990,
Pubmed
,
Xenbase Huang,
Overexpression of Xenopus laevis growth hormone stimulates growth of tadpoles and frogs.
2000,
Pubmed
,
Xenbase Huang,
Metamorphosis is inhibited in transgenic Xenopus laevis tadpoles that overexpress type III deiodinase.
1999,
Pubmed
,
Xenbase Koopdonk-Kool,
Quantification of type III iodothyronine deiodinase activity using thin-layer chromatography and phosphor screen autoradiography.
1993,
Pubmed Kuchler,
Two precursors of thyrotropin-releasing hormone from skin of Xenopus laevis. Each contains seven copies of the end product.
1990,
Pubmed
,
Xenbase Larsen,
Relationships between circulating and intracellular thyroid hormones: physiological and clinical implications.
1981,
Pubmed Larsen,
The pituitary-thyroid regulatory system.
1989,
Pubmed Marsh-Armstrong,
Asymmetric growth and development of the Xenopus laevis retina during metamorphosis is controlled by type III deiodinase.
1999,
Pubmed
,
Xenbase Matsumoto,
Differentiating ability of the pars intermedia in hypothalectomized frog tadpoles.
2000,
Pubmed Morreale de Escobar,
Thyroid hormones in tissues from fetal and adult rats.
1994,
Pubmed Regard,
Plasma thyroxine and triiodothyronine levels in spontaneously metamorphosing Rana catesbeiana tadpoles and in adult anuran amphibia.
1978,
Pubmed Specker,
Asynchrony of changes in tissue and plasma thyroid hormones during the parr-smolt transformation of coho salmon.
1992,
Pubmed Stenzel-Poore,
Characterization of the genomic corticotropin-releasing factor (CRF) gene from Xenopus laevis: two members of the CRF family exist in amphibians.
1992,
Pubmed
,
Xenbase St Germain,
A thyroid hormone-regulated gene in Xenopus laevis encodes a type III iodothyronine 5-deiodinase.
1994,
Pubmed
,
Xenbase Tagawa,
Presence of thyroxine in eggs and changes in its content during early development of chum salmon, Oncorhynchus keta.
1987,
Pubmed Tu,
Regional distribution of type 2 thyroxine deiodinase messenger ribonucleic acid in rat hypothalamus and pituitary and its regulation by thyroid hormone.
1997,
Pubmed Wang,
Thyroid hormone-induced gene expression program for amphibian tail resorption.
1993,
Pubmed
,
Xenbase Weiss,
Thyrotropin regulation by thyroid hormone in thyroid hormone receptor beta-deficient mice.
1997,
Pubmed Yaoita,
A correlation of thyroid hormone receptor gene expression with amphibian metamorphosis.
1990,
Pubmed
,
Xenbase