Click here to close
Hello! We notice that you are using Internet Explorer, which is not supported by Xenbase and may cause the site to display incorrectly.
We suggest using a current version of Chrome,
FireFox, or Safari.
???displayArticle.abstract???
The inner ear develops from a simple ectodermal thickening called the otic placode into a labyrinth of chambers which house sensory organs that sense sound and are used to maintain balance. Although the morphology and function of the sensory organs are well characterized, their origins and lineage relationships are virtually unknown. In this study, we generated a fate map of Xenopus laevis inner ear at otic placode and otocyst stages to determine the developmental origins of the sensory organs. Our lineage analysis shows that all regions of the otic placode and otocyst can give rise to the sensory organs of the inner ear, though there were differences between labeled quadrants in the range of derivatives formed. A given region often gives rise to cells in multiple sensory organs, including cells that apparently dispersed from anterior to posterior poles and vice versa. These results suggest that a single sensory organ arises from cells in different parts of the placode or otocyst and that cell mixing plays a large role in ear development. Time-lapse videomicroscopy provides further evidence that cells from opposite regions of the inner ear mix during the development of the inner ear, and this mixing begins at placode stages. Lastly, bone morphogenetic protein 4 (BMP-4), a member of the transforming growth factor beta (TGF-beta) family, is expressed in all sensory organs of the frog inner ear, as it is in the developing chicken ear. Inner ear fate maps provide a context for interpreting gene expression patterns and embryological manipulations.
FIG. 1. Stage 47 Xenopus tadpole and anatomical view of an adult ear. (A) Stage 47 tadpole is shown (dorsal view). Blue oval represents
location of the ear. (B) An anatomical illustration of an adult frog ear is shown (lateral view). Green areas represent sensory organs in (A)
and (B). (C) The sensory organs of the inner ear can be labeled with a vital dye, 4-Di-2-ASP. This image is the projection of three different focal
planes. (D) Bright-field image of inner ear in (C) showing two otoliths. (E) Diagram of the quadrants injected for the fate map experiments at
placode and otocyst stages. The anterior (a), dorsal (d), and/or medial (m) directions are indicated. ac, Anterior cristae; lc, lateral cristae; pc,
posterior cristae; mu, maculae utriculi; and ms, maculae saccule. Otolith (ot) is secreted by maculae utriculi and maculae saccule. Scale bar equals
200 mm.
FIG. 2. Fate-map injection of otic placode and otocyst. A small amount of vital dye, DiD, was injected into one of four quadrants of the
otic placode or otocyst: anterior (A; stage 26), posterior (D; stage 26), dorsal (G; stage 26), and ventral (K; stage 26). A and G are medium-sized
injections; D and J are small injections. After the initial injection, the embryos were grown until tadpole stage (stage 47â49) when most of
the sensory organs have differentiated (panels B, C, E, F, H, I, K, L). The four sets of panels AâC, DâF, GâI, and JâL each represent one
embryo. For example, AâC is the same embryo. Positive DiD (in red) labeling were found in both anterior (B and E) and posterior cristae
(C and F) when anterior (A) and posterior (D) regions were labeled. In addition, dorsal and ventral (BMP-4 negative) regions gave rise to sensory organs (HâI and KâL). DiD is shown in red, and 4-Di-2-ASP is shown in green. Arrows indicate colabeling with DiD and 4-Di-2-ASP
(which labels hair cells). All arrows but in (C) and (I) point to the apical edge of the hair cells. Arrows in (C) and (I) point to the basal and
lateral edges, respectively, of hair cells. Blue circle represents otic placode or otocyst. The anterior (a), dorsal (d), and/or lateral (l) directions
are indicated (orientation in A applies to D, G, and J; that in B applies to all remaining panels). Scale bar equals 100 mm.
FIG. 3. Fate-map injection of otic placode and otocyst showing DiD-positive cells in both nonsensory regions as well as in sensory organs.
In both embryos (A, stage 25, and E, stage 30), a small amount of vital dye, DiD, was injected into the posterior quadrant of the otic placode
or otocyst. Panels AâD and panels E-H each represent one embryo at two different time points. After initial injection (A and E), the embryos
were grown to stage 471 (BâD and FâH). Panels BâD represent a dorsal view of the entire left inner ear at stage 47 of the same embryo shown
in (A). (B) DiD-positive cells are shown. (C) Sensory organs labeled with 4-Di-2ASP. Only the anterior cristae is in focus in this view.
Underneath it and to the right is the maculae utriculi. (D) Overlap of panels B (red) and C (green) is shown. A box in the left corner of panel
D shows a magnified view of the posterior cristae. Panels FâH represent higher magnification dorsal views of a portion of the inner ear at
stage 47, of the embryo shown in E. In panel F (DiD) and G (overlap of DiD, red, and 4-Di-2-ASP, green), the same posterior cristae is shown.
(H) Macula utriculi is shown. Arrowheads indicate labeled cells in nonsensory regions, while the arrows show lineage labeled cells in
sensory organs. Blue circle represents otic placode or otocyst. The anterior (a), dorsal (d), and/or lateral (l) directions are indicated
(orientation in A applies to E, that in B applies to all remaining panels). ac, Anterior cristae; lc, lateral cristae; pc, posterior cristae; mu,
maculae utriculi; and ms, maculae saccule. Scale bar equals 100 mm.
FIG. 4. Bar graph representing DiD labeling in the sensory organs of the otic vesicle. A small amount of vital dye DiD was injected
into one of four quadrants of the otic placode or otocyst: anterior (black sold bar), posterior (bar with dots), dorsal (white hatched bars),
and ventral (black hatched bars). Two time points were studied, otic placode (graph A) and otocyst (graph B) stages. Embryos were
grown to stages 47–49 and analyzed for positive labeling in the various sensory organs. Data were then grouped into four categories:
nonsensory organ region of the ear, anterior only (anterior and lateral cristae, maculae utriculi, and maculae sacculus), posterior only
(posterior cristae), and anterior and posterior sensory organs. Graph plots percentage of embryos (y axis) with positive labeling in the
five groups (x axis).
FIG. 5. Time lapse of early otic placode development demonstrating cell mixing. To verify that cells from different region of the otic
placode can indeed mix, we injected dorsal and ventral quadrants of the otic placode of stage 23 embryo (A) with two different vital dyes
(DiI-CM in green and DiD in red). Labeled cells (lateral view) were followed for at least 10 h. This amount of time was sufficient to go from
a placode to an advanced otocyst stage that is just beginning to undergo sensory organ differentiation. The white box in A indicates the
region magnified in frames BâT. (B-H) Green cells are moving ventrally and intermingling with red cells (white arrows). Red cells are
splitting into two groups, dorsal and ventral, within the first 3 h (H). (I) At least one green cell has moved ventral to the more dorsal group
of red cells and is mixed with the ventral group of red cells, appearing yellow when colocalized (yellow arrow). (IâL) Green cells move from
dorsal to the posteriorventral edge of the dorsal group of red cells (white arrows), mixing these two cell populations (yellow arrows indicate
colocalized labeling). (MâP) Green and red cells remain colocalized for almost two h. The ventral group of red cells and its colocalized green
cells (I) disappear from this plane of focus (O). (QâT) Green and red colocalized cells in P separate within 25 minutes. Green cells
(arrowheads) remain separated and dorsal but within 2 h most move back in, colocalizing with the red cells (yellow arrow). Time elapsed
in minutes (min) is indicated in each panel. Blue circle represents otic placode. The dorsal (d) and posterior (p) directions are indicated. Scale
bar equals 100 mm. Time-lapse movies can be down-loaded from http://www.hei.org/htm/cmbeard.htm.
FIG. 6. mRNA expression of BMP-4 during early otic development of Xenopus laevis. (A) BMP-4 mRNA is first expressed at the posterior
region of otic placode at stage 25. (B) Expression in the posterior region becomes stronger and extends ventrally at stages 27/28. (C) By stage
29, anterior expression is observed and expression in the posterior region becomes more restricted. (D) Anterior and posterior expression
persists as shown in a stage 35/36 otocyst. Scale bar equal to 150 mm.
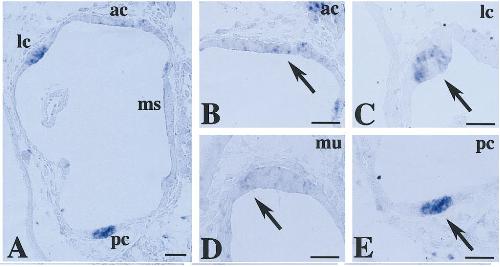
FIG. 7. mRNAexpression of BMP-4 in the sensory organs of Xenopus laevis inner ear. (A) Longitudinal section through stage 45 inner ear shows
BMP-4 is expressed in the sensory organs. Anterior crista (ac), lateral crista (lc), posterior crista (pc), and maculae saccule (ms) display BMP-4 RNA
expression. Higher magnification of anterior crista is shown in (B), lateral crista in (C), and posterior crista in (E). (D) BMP-4 RNA is also expressed
in another sensory organ, macula utriculi (mu). (AâE) Arrows indicate BMP-4 expression. Lateral and posterior cristae have the strongest BMP-4
expression. Sensory organs consist of mechanoreceptors, the hair cells, and underlying cells called supporting cells. Based on the staining, it
appears that hair and supporting cells are labeled at least in the lateral and posterior cristae. In the remaining sensory organs, the staining was
too weak to be certain if hair cells were labeled. Anterior is to the top and lateral is to the left. Scale bar equal to 100 mm.