Click here to close
Hello! We notice that you are using Internet Explorer, which is not supported by Xenbase and may cause the site to display incorrectly.
We suggest using a current version of Chrome,
FireFox, or Safari.
???displayArticle.abstract??? Hedgehog ligands interact with receptor complexes containing Patched (PTC) and Smoothened (SMO) proteins to regulate many aspects of development. The mutation W535L (SmoM2) in human Smo is associated with basal cell skin cancers, causes constitutive, ligand-independent signaling through the Hedgehog pathway, and provides a powerful means to test effects of unregulated Hedgehog signaling. Expression of SmoM2 in Xenopus embryos leads to developmental anomalies that are consistent with known requirements for regulated Hedgehog signaling in the eye and pancreas. Additionally, it results in failure of midgut epithelial cytodifferentiation and of the intestine to lengthen and coil. The midgutmesenchyme shows increased cell numbers and attenuated expression of the differentiation marker smooth muscle actin. With the exception of the pancreas, differentiation of foregut and hindgut derivatives is unaffected. The intestinal epithelial abnormalities are reproduced in embryos or organ explants treated directly with active recombinant hedgehog protein. Ptc mRNA, a principal target of Hedgehog signaling, is maximally expressed at stages corresponding to the onset of the intestinal defects. In advanced embryos expressing SmoM2, Ptc expression is remarkably confined to the intestinal wall. Considered together, these findings suggest that the splanchnic mesoderm responds to endodermal Hedgehog signals by inhibiting the transition of midgutendoderm into intestinal epithelium and that attenuation of this feedback is required for normal development of the vertebrate intestine.
FIG. 1. Comparison of the deduced amino acid sequences of
Xenopus (x) and human Smo. Identity between amino acids in the
two sequences is boxed and the seven regions of hydrophobic
residues representing putative transmembrane (TM) domains are
shaded. The location of the tryptophan (W) residue at positions 535
and 508 of the human and Xenopus sequences, respectively, is
marked by an asterisk and designated M2.
FIG. 2. Histology of eye defects seen with overexpression of SmoM2. In comparison to the normal organization of epithelia in control
tadpoles injected with wild-type Smo (A, B), the eye fields of SmoM2-injected tadpoles (C, D) show a normal-appearing pigmented
epithelium (pig) but a highly disorganized neuroepithelium (n-e), displaced but developed lens, and considerable distance from the
epidermal surface of the skin (epi).
FIG. 3. Gross phenotype and abnormal intestine of tadpoles expressing SmoM2. (A) At NieuwkoopâFaber Stage 40 (top two images),
defects in embryos overexpressing SmoM2 (M2) are limited to the eye fields and subtle abnormalities in ventral morphology, compared to
control embryos injected with wild-type Smo RNA (WT). By Stage 46 (bottom two), these embryos are smaller than the controls and show
dramatic abnormalities in the intestine and ventralepidermis. Embryos are shown here with the ventral surface up to reveal these
abnormalities. (B) Appearance of Smo- (control, top) and SmoM2-injected (bottom) embryos at NieuwkoopâFaber Stage 45/46 after removal
of the skin, highlighting the absence of intestinal coiling. (C) Morphology of the isolated digestive tract from Smo- (left) and
SmoM2-injected (right) embryos, with indication of the approximate levels of the esophagus (esoph), liver and gall bladder (GB), stomach
and pancreas, small intestine, and hindgut (hg). Gross abnormalities are restricted to the midgut.
FIG. 4. Histology of the gastrointestinal tract and ventralepidermis in embryos expressing SmoM2. Coiling of multiple intestinal loops
joined by a thin mesentery is evident in sagittal sections of the abdomen of control (Smo-injected) embryos (A), whereas SmoM2-injected
embryos (C) show a virtually linear arrangement of foregut (fg), midgut (mg) and hindgut (hg) derivatives. In contrast to the mature intestinal
epithelium seen in many loops of control-injected embryos (B), the mg derivatives of SmoM2-overexpressing embryos (D) remain filled with
yolky material and fail to develop an organized epithelium, while the hg displays a maturing epithelial lining. (E) Differentiation of the liver
appears normal by histologic criteria in embryos expressing SmoM2. The ventralepidermis (epi) of uninjected or Smo-injected embryos (F)
has a continuous layer of underlying striated muscle (mu), which maintains the skin in close apposition to the developing intestine (seen
to the right). In contrast, the epidermis of embryos expressing SmoM2 (G) is stretched and completely lacks underlying muscle.
FIG. 5. Molecular correlates of gut abnormalities seen with
expression of SmoM2. RT-PCR analysis of differentiation markers
of gut derivatives in isolated digestive tract tissues at
NieuwkoopâFaber Stages 42 and 45. Comparison is made between
mRNA levels in untreated (Un) embryos and embryos
injected with either wild-type Smo or SmoM2. PCR was carried
out in the linear range of amplification for each marker, samples
treated without reverse transcriptase (2RT) were included as
controls, and PCR for ornithine decarboxylase (ODC) and elongation
factor-1a (data not shown) confirm equal loading. IFABP,
intestinal fatty acid binding protein; Edd, endodermin; LFABP,
liver fatty acid binding protein.
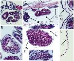
FIG. 6. Features of the mesentery with expression of SmoM2. (A) Histological analysis shows a two-cell layer thick mesentery in control
embryos that is contiguous with the wall of the gut (arrows). (B) In SmoM2-expressing embryos at NieuwkoopâFaber Stage 45/46, this
mesentery shows abnormal thickening in many areas (arrows). (C) The mesenchyme in Smo-injected embryos shows intense staining with
an antibody directed against smooth muscle actin. (D) Embryos expressing SmoM2 show much weaker staining.
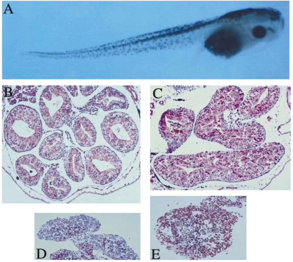
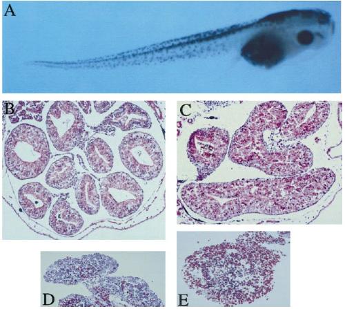
FIG. 7. Direct effects of Hh activity in the developing Xenopus midgut. (A) Representative whole embryo treated with 10 mg/ml
recombinant N-Shh. Histology of the midgut from whole tadpoles (B, C) and isolated intestinal explants (D, E) cultured between
NieuwkoopâFaber Stages 41 and 43 in the absence (B, D) or presence (C, E) of 10 mg/ml recombinant N-Shh.
FIG. 8. Patched (Ptc) mRNA expression in normal development and with expression of SmoM2. (A) Whole-mount in situ hybridization
of uninjected (left) and SmoM2-injected (right) embryos at NieuwkoopâFaber Stages 35, 40, and 45 using an antisense Xenopus Ptc
riboprobe. In normal development, activity of the Hh pathway, mirrored in Ptc mRNA expression, is highest around Stage 40, whereas
constitutive activation through SmoM2 results in Ptc overexpression at earlier stages. By Stage 45, Ptc expression is barely detectable in
control embryos and largely localized to the intestinal wall (arrows) in embryos overexpressing SmoM2. Staining with a sense probe was
consistently negative, as illustrated in a single representative of Stage 45 SmoM2 embryos. (B) In situ hybridization of sections of the intestine
of untreated (top) and Smo M2-injected (bottom) tadpoles at Stage 42, using radiolabeled Ptc antisense (center) or sense (right) riboprobes, showing
restriction of Ptc mRNA expression to the splanchnic mesoderm. Corresponding bright-field images are shown on the left.
FIG. 9. Model for the role of regulated Hh signaling in differentiation of the midgut epithelium. Early in gut development (before
Nieuwkoop–Faber Stage 40–42 in Xenopus development), the Smo receptor expressed in the splanchnic mesoderm is inferred to respond
to Hh signaling by inhibiting progression of undifferentiated endoderm into intestinal epithelium via an unknown mediator (?). Later
(between Nieuwkoop–Faber Stages 42 and 45), the Hh signal is naturally attenuated and inhibition of epithelial differentiation is lifted.
When Hh signaling is activated artificially via expression of SmoM2, the status of the Hh ligand is irrelevant, and cytodifferentiation of the
midgut epithelium is constitutively inhibited.