|
XB-ANTIBODY-14575292
|
Antibody Name:
Somite Ab1
Common Name: 12/101 RRID: Synonyms: 12-101, 12101, somite
Source: |
| Antibody | |
| Clone Number | |
| Purification | Ascites |
| Isotype | IgG1 |
| Host Organism | mouse |
| Xenopus Reactivity | X. laevis |
| Non-Xenopus Reactivity | chicken, mouse, rabbit |
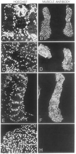
| Description: | somite, skeletal muscle marker |
| Immunogen | |
| Name | regenerating limb blastema |
| Type | homogenized tissue |
| Post Translational Modifications | None |
| Source Organism | newt |
| Description | 102 kDa muscle ATPase |
| Sequence | |
| Reported Usage | |
| immunohistochemistry | |
| immunofluorescence | works post in situ |
| western blot | 102kDa |
| Publications | |
| ???displayAntibody.papersFirst??? |
Activation of muscle-specific actin genes in Xenopus development by an induction between animal and vegetal cells of a blastula., Cell 1985 |
| ???displayAntibody.papersRecent??? |
Histone deacetylase activity has an essential role in establishing and maintaining the vertebrate neural crest., Development 2018 |
| ???displayAntibody.papersAll??? | |
