Click here to close Hello! We notice that you are using Internet Explorer, which is not supported by Xenbase and may cause the site to display incorrectly. We suggest using a current version of Chrome, FireFox, or Safari.

Summary Images Attributions Wiki Source
XB-ANTIBODY-14579176

Antibody Name: Myc Ab1

Common Name: c-myc

RRID:
Synonyms: 11 667 149 001, 11 667 203 001, 9E10

Antigens
Gene: myc

Clone Type: Monoclonal
Source: Roche

Antibody
Clone Number 9E10
Purification
Isotype IgG1
Host Organism mouse
Xenopus Reactivity X. tropicalis, X. laevis
Non-Xenopus Reactivity human
Description: Supplied by Roche, Cat # 1 667 203 001 ( in solution) and 11 667 149 001 (lyophilized).
Immunogen
Name myc
Type synthetic sequence
Post Translational Modifications None
Source Organism human
Description aa 408-439 of human c-myc Clone 9E10 was obtained by immunizing BALB/c mice with the peptide AEEQKLISEEDLLRKRREQLKHKLEQLRNSCA, which corresponds to amino acid residues 408-439 in the human c-myc protein.
Sequence [+]
Reported Usage
immunofluorescence MEMFA 1-2 hrs @ RT, post-fix Dents, 0.5 ug/ml use at 1:500 to 1:1000
immunohistochemistry
Used For Epitope Tagging Yes
Publications
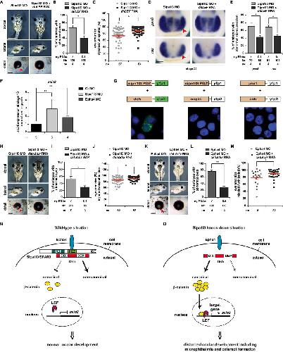
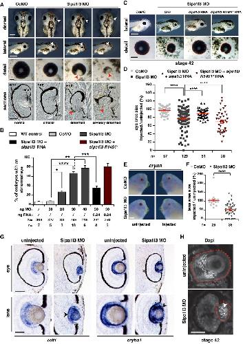
???displayAntibody.papersFirst??? An Epha4/Sipa1l3/Wnt pathway regulates eye development and lens maturation., Development 2017     
???displayAntibody.papersRecent??? SoxB1 transcription factors are essential for initiating and maintaining neural plate border gene expression., Development 2024     
???displayAntibody.papersAll???