Click here to close Hello! We notice that you are using Internet Explorer, which is not supported by Xenbase and may cause the site to display incorrectly. We suggest using a current version of Chrome, FireFox, or Safari.

Summary Images Attributions Wiki Source
XB-ANTIBODY-14579777

Antibody Name: Tubb2b Ab1

Common Name:

RRID:
Synonyms: T8453

Antigens
Gene: tubb2b

Clone Type: Monoclonal
Source: Sigma-Aldrich

Antibody
Clone Number 7B9
Purification Immunoglobulin Fractionation
Isotype IgG1
Host Organism mouse
Xenopus Reactivity X. tropicalis, X. laevis
Non-Xenopus Reactivity human, mouse, rat
Description: Supplied by Sigma, cat# T8453
Immunogen
Name beta-tubulin
Type synthetic sequence
Post Translational Modifications None
Source Organism human
Description synthetic peptide corresponding to amino acids 437-445 at the C-terminus of human β II tubulin.1 This sequence is common also to the monkey, bovine, dog, rat, and mouse C-terminus of β II tubulin.
Sequence
Reported Usage
immunohistochemistry 1:1000
Publications
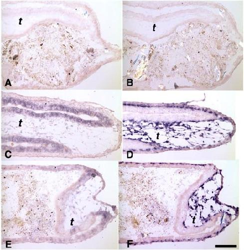
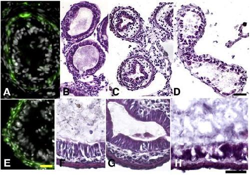
???displayAntibody.papersFirst??? Cell-cell interactions during remodeling of the intestine at metamorphosis in Xenopus laevis., Dev Biol 2009     
???displayAntibody.papersRecent???
???displayAntibody.papersAll???