|
XB-ANTIBODY-14586427
|
Antibody Name:
BrdU Ab2
Common Name: BrdU RRID: Synonyms: Bromodeoxyuridine
Source: Sigma-Aldrich |
|
| Antibody | |
| Clone Number | |
| Purification | |
| Isotype | isotype unknown |
| Host Organism | mouse |
| Xenopus Reactivity | X. tropicalis, X. laevis |
| Non-Xenopus Reactivity | |
| Description: | Supplied by Sigma, multiple products offered but not specified by authors |
| Immunogen | |
| Name | BrdU |
| Type | chemical |
| Post Translational Modifications | None |
| Source Organism | Other |
| Description | Synthetic Uracil analogue, a marker for DNA synthesis/proliferation |
| Sequence | |
| Reported Usage | |
| immunofluorescence | 1:500 |
| immunohistochemistry | |
| Publications | |
| ???displayAntibody.papersFirst??? |
Dystroglycan is required for proper retinal layering., Dev Biol 2006 |
| ???displayAntibody.papersRecent??? |
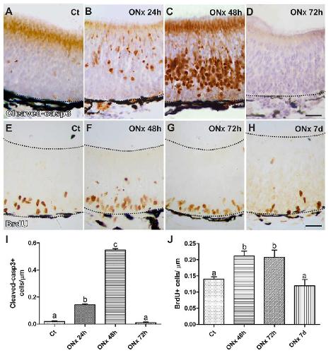
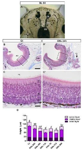
Neuronal degeneration and regeneration induced by axotomy in the olfactory epithelium of Xenopus laevis., Dev Neurobiol 2017 |
| ???displayAntibody.papersAll??? | |
