|
XB-ANTIBODY-14638391
|
Antibody Name:
Kcnd2 Ab2
Common Name: Kv4.2 RRID: Synonyms: APC-023, Kv4.2
Source: Alomone |
|
| Antibody | |
| Clone Number | |
| Purification | |
| Isotype | IgG |
| Host Organism | rabbit |
| Xenopus Reactivity | X. tropicalis |
| Non-Xenopus Reactivity | mouse, rat |
| Description: | Supplied by Alomone, Cat #: APC-023 |
| Immunogen | |
| Name | Kv4.2 |
| Type | polypeptide |
| Post Translational Modifications | None |
| Source Organism | Other |
| Description | rat antigen |
| Sequence | |
| Reported Usage | |
| immunofluorescence | 1:50 |
| immunohistochemistry | |
| Publications | |
| ???displayAntibody.papersFirst??? |
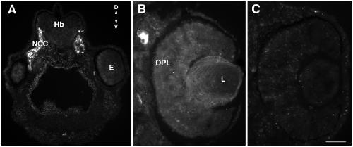
Expression of voltage-dependent potassium channels in the developing visual system of Xenopus laevis., J Comp Neurol 2002 |
| ???displayAntibody.papersRecent??? |
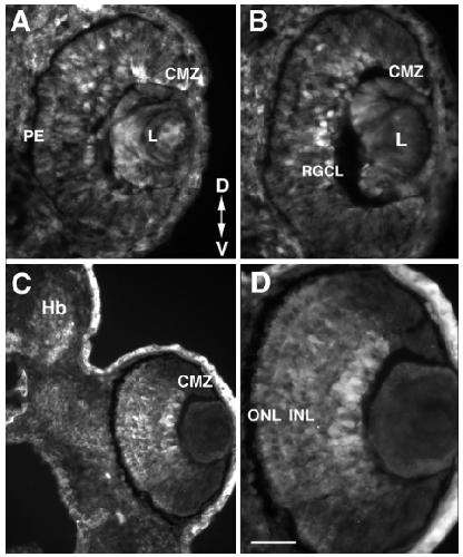
Zac1 promotes a Müller glial cell fate and interferes with retinal ganglion cell differentiation in Xenopus retina., Dev Dyn 2007 |
| ???displayAntibody.papersAll??? | |
