|
XB-ANTIBODY-16331261
|
Antibody Name:
Uts2r Ab1
Common Name: UTR RRID: Synonyms:
Source: |
|
| Antibody | |
| Clone Number | |
| Purification | Affinity Purification |
| Isotype | IgG |
| Host Organism | rabbit |
| Xenopus Reactivity | X. tropicalis |
| Non-Xenopus Reactivity | |
| Description: | Generated by Uchiyama lab in 2013 |
| Immunogen | |
| Name | Uts2r |
| Type | synthetic sequence |
| Post Translational Modifications | None |
| Source Organism | frog |
| Description | synthetic peptide RVSGRSMSTSSQQC which corresponds to AA 324-337 of Xenopus UTR |
| Sequence |
|
| Reported Usage | |
| immunofluorescence | |
| western blot | |
| Publications | |
| ???displayAntibody.papersFirst??? |
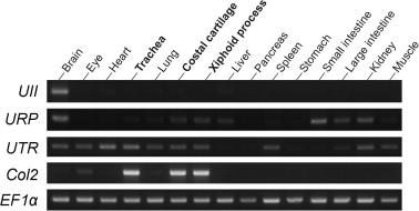
Urotensin II receptor (UTR) exists in hyaline chondrocytes: a study of peripheral distribution of UTR in the African clawed frog, Xenopus laevis., Gen Comp Endocrinol 2013 |
| ???displayAntibody.papersRecent??? | |
| ???displayAntibody.papersAll??? | |
