|
XB-ANTIBODY-17251123
|
Antibody Name:
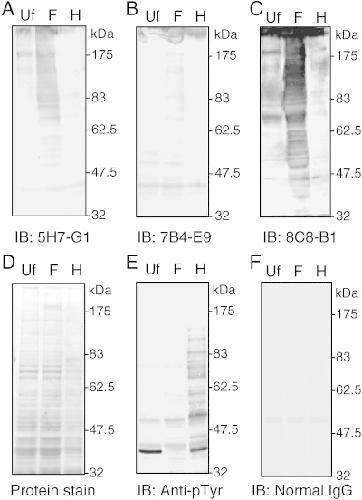
Fertilized Egg Ab1
Common Name: 5H7-G1 RRID: Synonyms: 5H7-G1
Source: |
|
| Antibody | |
| Clone Number | 5H7-G1 |
| Purification | |
| Isotype | isotype unknown |
| Host Organism | mouse |
| Xenopus Reactivity | X. tropicalis, X. laevis |
| Non-Xenopus Reactivity | |
| Description: | Generated by Fukami Lab in 2005 |
| Immunogen | |
| Name | Fertilized Egg |
| Type | polypeptide |
| Post Translational Modifications | None |
| Source Organism | Other |
| Description | |
| Sequence | |
| Reported Usage | |
| immunofluorescence | |
| immunohistochemistry | |
| western blot | |
| Publications | |
| ???displayAntibody.papersFirst??? |
Generation of an antibody specific to Xenopus fertilized eggs by subtractive immunization., Genes Cells 2005 |
| ???displayAntibody.papersRecent??? | |
| ???displayAntibody.papersAll??? | |
