|
XB-ANTIBODY-17307038
|
Antibody Name:
Mbp Ab1
Common Name: xmbp.1 RRID: Synonyms:
Source: |
|
| Antibody | |
| Clone Number | |
| Purification | unknown how antibody is supplied |
| Isotype | IgG1 |
| Host Organism | mouse |
| Xenopus Reactivity | X. laevis |
| Non-Xenopus Reactivity | |
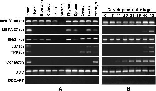
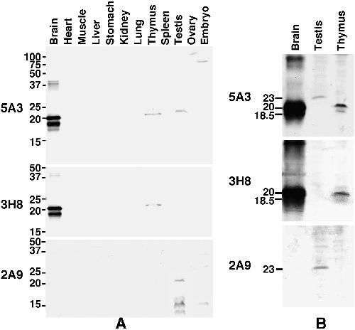
| Description: | This pan-mbp antibody was made by the Nagata lab, published in 2010. |
| Immunogen | |
| Name | myelin basic protein |
| Type | synthetic sequence |
| Post Translational Modifications | unknown post translational modifications |
| Source Organism | frog |
| Description | 3 synthetic peptides were purchased from Biologica (Nagoya, Japan): peptide 1, NH2-RHRDSGLLDSLGRFFG(C)-OH; peptide 2, NH2-GSLSKIFKLGGQRSRSS(C)-OH; peptide 3, NH2-RDAPGREDNTFKDRPSE(C)-OH.C-terminal cysteine in parentheses was added for the coupling reaction. An aa sequence of peptide 1 is shared by XMBP.1, XBG21.1, and XJ37.1; peptide 2 by XMBP.1 and XJ37.1; peptide 3 by XBG21.1 and XJ37.1 |
| Sequence |
|
| Reported Usage | |
| immunohistochemistry | |
| Publications | |
| ???displayAntibody.papersFirst??? |
Structure and expression of myelin basic protein gene products in Xenopus laevis., Gene 2010 |
| ???displayAntibody.papersRecent??? | |
| ???displayAntibody.papersAll??? | |
