Click here to close Hello! We notice that you are using Internet Explorer, which is not supported by Xenbase and may cause the site to display incorrectly. We suggest using a current version of Chrome, FireFox, or Safari.

Summary Images Attributions Wiki Source
XB-ANTIBODY-18338844

Antibody Name: Adm Ab1

Common Name: Adrenomedullin

RRID:
Synonyms:

Antigens
Gene: adm

Clone Type: unknown
Source:

Antibody
Clone Number
Purification
Isotype isotype unknown
Host Organism Unknown
Xenopus Reactivity X. tropicalis, X. laevis
Non-Xenopus Reactivity human
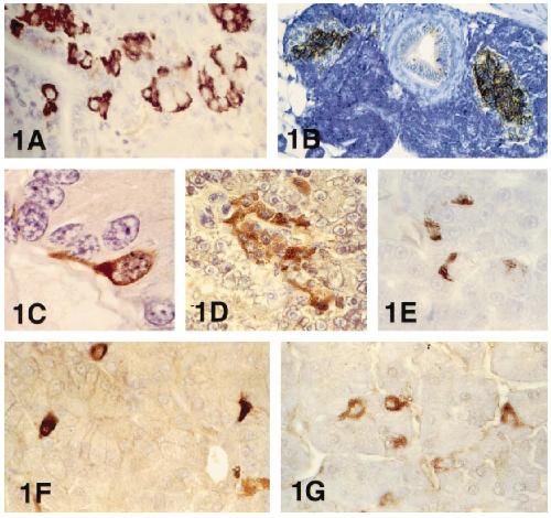
Description: see PMID 7649118
Immunogen
Name Adm
Type polypeptide
Post Translational Modifications None
Source Organism Unknown
Description made against the peptide P072 (a carboxy-end fragment of AM)
Sequence
Reported Usage
immunofluorescence 1:1000
immunohistochemistry 1:1000
Publications
???displayAntibody.papersFirst??? Adrenomedullin in nonmammalian vertebrate pancreas: an immunocytochemical study., Gen Comp Endocrinol 1999     
???displayAntibody.papersRecent???
???displayAntibody.papersAll???