|
XB-MORPHOLINO-17249305
Morpholino Name:
cirbp MO2
Synonyms: cirp-mo
Target mRNA: cirbp
Morpholino Type: uncategorized morpholino
Sequence: 5' AGTACAGACTGCTTCCTTTTGAGA 3'
Source: Gene Tools LLC
Synonyms: cirp-mo
Target mRNA: cirbp
Morpholino Type: uncategorized morpholino
Sequence: 5' AGTACAGACTGCTTCCTTTTGAGA 3'
Source: Gene Tools LLC
| Target mRNA | |||||||
| Identities | |||||||
genome
MO
|
|||||||
| Genomic Alignments |
Position | Identity | Strand | Target | Target mRNA | ||
| laevis 10.1 | Chr9_10L:67603667..67603690 | 21/24 | Sense | off-target | mbd5.L | ||
| Chr7S:101765674..101765697 | 20/24 | Antisense | off-target | prkcg.S | |||
| Chr1L:108068492..108068515 | 20/24 | Antisense | off-target | pcsk4.L | |||
| Chr1S:54406977..54407000 | 21/24 | unknown | |||||
| Chr6L:89797038..89797061 | 21/24 | unknown | |||||
| Chr2L:62829428..62829451 | 20/24 | unknown | tropicalis 10.0 | Chr3:75403639..75403662 | 21/24 | Sense | off-target | lrrk2 |
| Chr3:75473891..75473914 | 21/24 | Antisense | off-target | lrrk2 | |||
| Chr3:129503102..129503125 | 20/24 | Antisense | off-target | npm2 | |||
| Chr6:51538813..51538836 | 20/24 | Antisense | off-target | sh3bp5 | |||
| Publications | |||||||
| ???morpholino.displaySummary.papersFirst??? |
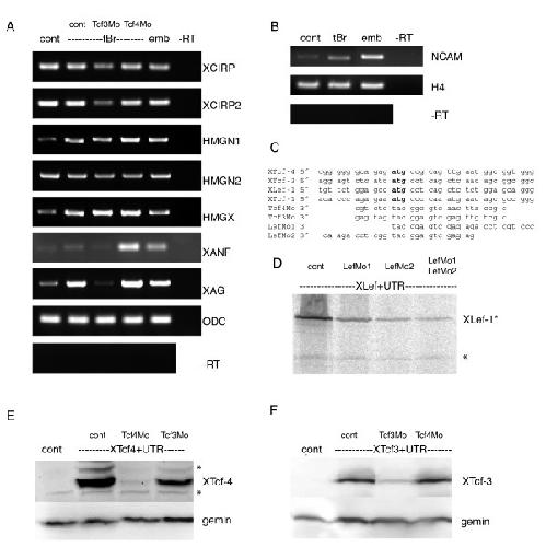
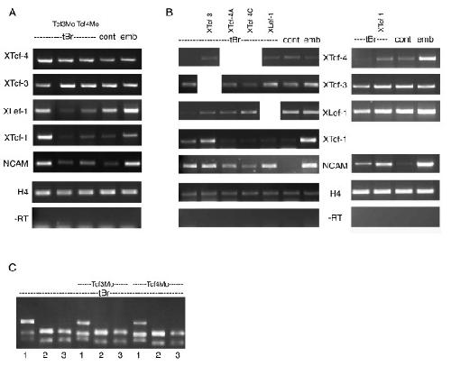
Cold-inducible RNA binding protein (CIRP), a novel XTcf-3 specific target gene regulates neural development in Xenopus., BMC Dev Biol 2008 |
||||||
| ???morpholino.displaySummary.papersRecent??? | |||||||
| ???morpholino.displaySummary.papersAll??? | |||||||
