|
XB-MORPHOLINO-17249556
Morpholino Name:
foxj1 MO1
Synonyms: foxj1, foxj1MO, Foxj1MOatg, xFoxJ1 MOATG
Target mRNA: foxj1
Morpholino Type: uncategorized morpholino
Sequence: 5' GCAGGTCAAACATTAATAAAGCCCT 3'
Source: Gene Tools LLC
Synonyms: foxj1, foxj1MO, Foxj1MOatg, xFoxJ1 MOATG
Target mRNA: foxj1
Morpholino Type: uncategorized morpholino
Sequence: 5' GCAGGTCAAACATTAATAAAGCCCT 3'
Source: Gene Tools LLC
| Target mRNA | tropicalis | laevis.L | laevis.S | ||||
| Identities | 23/25 | 25/25 | 25/25 | ||||
genome
MO
|
5' CAGGCTTTATTAATGTTTGACCTGC 3'
|||||||||||||||||||||||
3' TCCCGAAATAATTACAAACTGGACG 5' |
5' AGGGCTTTATTAATGTTTGACCTGC 3' ||||||||||||||||||||||||| 3' TCCCGAAATAATTACAAACTGGACG 5' |
5' AGGGCTTTATTAATGTTTGACCTGC 3' ||||||||||||||||||||||||| 3' TCCCGAAATAATTACAAACTGGACG 5' |
||||
| Genomic Alignments |
Position | Identity | Strand | Target | Target mRNA | ||
| laevis 10.1 | Chr9_10S:40624637..40624661 | 25/25 | Antisense | target | foxj1.S | ||
| Chr9_10L:47682345..47682369 | 25/25 | Antisense | target | foxj1.L | |||
| Chr3S:50468563..50468587 | 22/25 | Antisense | off-target | fbn1.S | |||
| Chr5S:27925694..27925718 | 21/25 | Antisense | off-target | LOC121394169 | |||
| Chr6S:98015760..98015784 | 21/25 | unknown | |||||
| Chr7L:100724270..100724294 | 21/25 | unknown | tropicalis 10.0 | Chr10:45082599..45082623 | 23/25 | Antisense | target | foxj1 |
| Chr5:35644672..35644696 | 21/25 | unknown | |||||
| Publications | |||||||
| ???morpholino.displaySummary.papersFirst??? |
The forkhead protein Foxj1 specifies node-like cilia in Xenopus and zebrafish embryos., Nat Genet 2008 |
||||||
| ???morpholino.displaySummary.papersRecent??? |
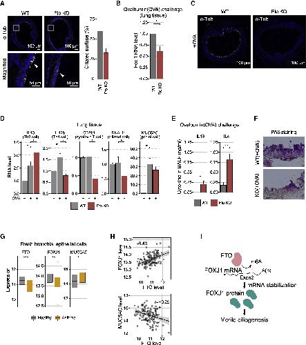
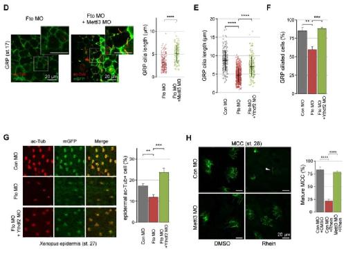
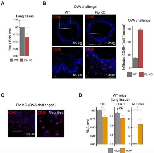
RNA demethylation by FTO stabilizes the FOXJ1 mRNA for proper motile ciliogenesis., Dev Cell 2021 |
||||||
| ???morpholino.displaySummary.papersAll??? | |||||||
