|
XB-MORPHOLINO-17250047
Morpholino Name:
otx2 MO1
Synonyms: Otx2, Otx2-MO
Target mRNA: otx2
Morpholino Type: uncategorized morpholino
Sequence: 5' GGTTGCTTGAGATAAGACATCATGC 3'
Source: Gene Tools LLC
Synonyms: Otx2, Otx2-MO
Target mRNA: otx2
Morpholino Type: uncategorized morpholino
Sequence: 5' GGTTGCTTGAGATAAGACATCATGC 3'
Source: Gene Tools LLC
| Target mRNA | tropicalis | laevis.L | laevis.S | ||||
| Identities | 25/25 | 25/25 | 25/25 | ||||
genome
MO
|
5' GCATGATGTCTTATCTCAAGCAACC 3' ||||||||||||||||||||||||| 3' CGTACTACAGAATAGAGTTCGTTGG 5' |
5' GCATGATGTCTTATCTCAAGCAACC 3' ||||||||||||||||||||||||| 3' CGTACTACAGAATAGAGTTCGTTGG 5' |
5' GCATGATGTCTTATCTCAAGCAACC 3' ||||||||||||||||||||||||| 3' CGTACTACAGAATAGAGTTCGTTGG 5' |
||||
| Genomic Alignments |
Position | Identity | Strand | Target | Target mRNA | ||
| laevis 10.1 | Chr8L:95780979..95781003 | 25/25 | Antisense | target | otx2.L | ||
| Chr8S:6469363..6469387 | 25/25 | Antisense | target | otx2.S | tropicalis 10.0 | Chr8:104117786..104117810 | 25/25 | Antisense | target | otx2 |
| Chr6:100147766..100147790 | 21/25 | Antisense | off-target | dipk1c | |||
| Publications | |||||||
| ???morpholino.displaySummary.papersFirst??? |
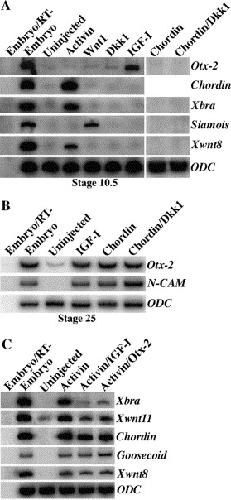
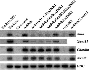
Antagonistic interaction between IGF and Wnt/JNK signaling in convergent extension in Xenopus embryo., Mech Dev 2005 |
||||||
| ???morpholino.displaySummary.papersRecent??? |
Morpholinos Do Not Elicit an Innate Immune Response during Early Xenopus Embryogenesis., Dev Cell 2019 |
||||||
| ???morpholino.displaySummary.papersAll??? | |||||||
