|
XB-MORPHOLINO-17250150
Morpholino Name:
ppp3ca MO3
Synonyms: CN2A
Target mRNA: ppp3ca
Morpholino Type: uncategorized morpholino
Sequence: 5' GACATTTCCCACACAGATTTCTCTA 3'
Source: Gene Tools LLC
Synonyms: CN2A
Target mRNA: ppp3ca
Morpholino Type: uncategorized morpholino
Sequence: 5' GACATTTCCCACACAGATTTCTCTA 3'
Source: Gene Tools LLC
| Target mRNA | tropicalis | laevis.L | laevis.S | ||||
| Identities | 24/25 | 24/25 | 25/25 | ||||
genome
MO
|
5' TAGAGAAATCCGTGTGGGAAATGTC 3'
|||||||||| ||||||||||||||
3' ATCTCTTTAGACACACCCTTTACAG 5' |
5' TAGAGAAATCCGTGTGGGAAATGTC 3'
|||||||||| ||||||||||||||
3' ATCTCTTTAGACACACCCTTTACAG 5' |
5' TAGAGAAATCTGTGTGGGAAATGTC 3' ||||||||||||||||||||||||| 3' ATCTCTTTAGACACACCCTTTACAG 5' |
||||
| Genomic Alignments |
Position | Identity | Strand | Target | Target mRNA | ||
| laevis 10.1 | Chr1S:62805122..62805146 | 25/25 | Antisense | target | ppp3ca.S | ||
| Chr1L:78617223..78617247 | 24/25 | Antisense | target | ppp3ca.L | |||
| Chr5L:8363550..8363574 | 21/25 | Sense | off-target | thada.L | |||
| Chr5S:35979610..35979634 | 21/25 | Sense | off-target | plekhg1.S | |||
| Chr7S:73187042..73187066 | 21/25 | Sense | off-target | pou2af1.S | |||
| Chr2L:89796934..89796958 | 21/25 | Sense | off-target | tmem234.L | |||
| Chr9_10L:128511184..128511208 | 21/25 | Antisense | off-target | LOC121398309 | |||
| Chr9_10L:128575039..128575063 | 21/25 | Antisense | off-target | LOC121398309 | |||
| Chr2S:161629998..161630022 | 22/25 | unknown | |||||
| Chr3L:75475272..75475296 | 22/25 | unknown | |||||
| Chr5S:104326058..104326082 | 21/25 | unknown | |||||
| Chr2L:40525060..40525084 | 21/25 | unknown | tropicalis 10.0 | Chr1:74038421..74038445 | 24/25 | Antisense | target | ppp3ca |
| Chr1:166554043..166554067 | 22/25 | Sense | off-target | osbp2 | |||
| Chr6:124799309..124799333 | 22/25 | Sense | off-target | ralyl | |||
| Chr2:136397788..136397812 | 21/25 | Antisense | off-target | kmt2d | |||
| Chr2:69860971..69860995 | 21/25 | Sense | off-target | srpk1 | |||
| Chr7:101769541..101769565 | 21/25 | Antisense | off-target | arhgef16 | |||
| Chr7:17320408..17320432 | 21/25 | unknown | |||||
| Publications | |||||||
| ???morpholino.displaySummary.papersFirst??? |
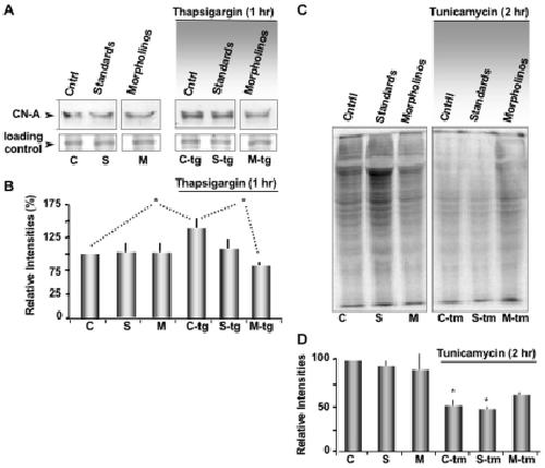
Calcineurin interacts with PERK and dephosphorylates calnexin to relieve ER stress in mammals and frogs., PLoS One 2010 |
||||||
| ???morpholino.displaySummary.papersRecent??? | |||||||
| ???morpholino.displaySummary.papersAll??? | |||||||
