|
XB-MORPHOLINO-17250452
Morpholino Name:
tbx2 MO2
Synonyms: tbx2 mo
Target mRNA: tbx2
Morpholino Type: uncategorized morpholino
Sequence: 5' GGAAAGCTGGATCTCTCATCGGTGC 3'
Source: Gene Tools LLC
Synonyms: tbx2 mo
Target mRNA: tbx2
Morpholino Type: uncategorized morpholino
Sequence: 5' GGAAAGCTGGATCTCTCATCGGTGC 3'
Source: Gene Tools LLC
| Target mRNA | tropicalis | laevis.L | laevis.S | ||||
| Identities | 25/25 | 25/25 | 25/25 | ||||
genome
MO
|
5' GCACCGATGAGAGATCCAGCTTTCC 3' ||||||||||||||||||||||||| 3' CGTGGCTACTCTCTAGGTCGAAAGG 5' |
5' GCACCGATGAGAGATCCAGCTTTCC 3' ||||||||||||||||||||||||| 3' CGTGGCTACTCTCTAGGTCGAAAGG 5' |
5' GCACCGATGAGAGATCCAGCTTTCC 3' ||||||||||||||||||||||||| 3' CGTGGCTACTCTCTAGGTCGAAAGG 5' |
||||
| Genomic Alignments |
Position | Identity | Strand | Target | Target mRNA | ||
| laevis 10.1 | Chr2L:95996983..95997007 | 25/25 | Antisense | target | tbx2.L | ||
| Chr2S:84250749..84250773 | 25/25 | Antisense | target | tbx2.S | tropicalis 10.0 | Chr2:92272977..92273001 | 25/25 | Antisense | target | tbx2 |
| Publications | |||||||
| ???morpholino.displaySummary.papersFirst??? |
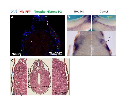
Role of Tbx2 in defining the territory of the pronephric nephron., Development 2011 |
||||||
| ???morpholino.displaySummary.papersRecent??? |
Tbx2 regulates anterior neural specification by repressing FGF signaling pathway., Dev Biol 2017 |
||||||
| ???morpholino.displaySummary.papersAll??? | |||||||
