|
XB-MORPHOLINO-17306974
Morpholino Name:
hes4 MO5
Synonyms:
Target mRNA: hes4
Morpholino Type: uncategorized morpholino
Sequence: 5' GCTTCTCCATACTATCTGCAGGCAT 3'
Source: Gene Tools LLC
Synonyms:
Target mRNA: hes4
Morpholino Type: uncategorized morpholino
Sequence: 5' GCTTCTCCATACTATCTGCAGGCAT 3'
Source: Gene Tools LLC
| Target mRNA | laevis.L | ||||||
| Identities | 25/25 | ||||||
genome
MO
|
5' ATGCCTGCAGATAGTATGGAGAAGC 3' ||||||||||||||||||||||||| 3' TACGGACGTCTATCATACCTCTTCG 5' |
||||||
| Genomic Alignments |
Position | Identity | Strand | Target | Target mRNA | ||
| laevis 10.1 | Chr7L:90956868..90956892 | 25/25 | Antisense | target | hes4.L | ||
| Chr3L:144107608..144107632 | 24/25 | Sense | off-target | gipc1.L | |||
| Chr9_10S:60229410..60229434 | 21/25 | Antisense | off-target | fmnl2.S | |||
| Chr1S:197205130..197205154 | 24/25 | unknown | |||||
| Chr5S:118735424..118735448 | 21/25 | unknown | |||||
| Chr8S:70330432..70330456 | 21/25 | unknown | |||||
| Publications | |||||||
| ???morpholino.displaySummary.papersFirst??? |
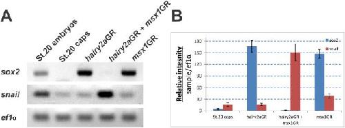
Functional analysis of Hairy genes in Xenopus neural crest initial specification and cell migration., Dev Dyn 2015 |
||||||
| ???morpholino.displaySummary.papersRecent??? | |||||||
| ???morpholino.displaySummary.papersAll??? | |||||||
