|
XB-MORPHOLINO-17328097
Morpholino Name:
gtpbp2 MO2
Synonyms: M1
Target mRNA: gtpbp2
Morpholino Type: uncategorized morpholino
Sequence: 5' CGCGGCTCCATCCCACCGGCCCTG 3'
Source: Gene Tools LLC
Synonyms: M1
Target mRNA: gtpbp2
Morpholino Type: uncategorized morpholino
Sequence: 5' CGCGGCTCCATCCCACCGGCCCTG 3'
Source: Gene Tools LLC
| Target mRNA | tropicalis | laevis.L | laevis.S | ||||
| Identities | 23/24 | 24/24 | 23/24 | ||||
genome
MO
|
5' CAGGGCCGGCGGGATGGAGCCGCG 3'
||||||||| ||||||||||||||
3' GTCCCGGCCACCCTACCTCGGCGC 5' |
5' CAGGGCCGGTGGGATGGAGCCGCG 3' |||||||||||||||||||||||| 3' GTCCCGGCCACCCTACCTCGGCGC 5' |
5' CAGGGCTGGTGGGATGGAGCCGCG 3'
|||||| |||||||||||||||||
3' GTCCCGGCCACCCTACCTCGGCGC 5' |
||||
| Genomic Alignments |
Position | Identity | Strand | Target | Target mRNA | ||
| laevis 10.1 | Chr5L:23753620..23753643 | 24/24 | Antisense | target | gtpbp2.L | ||
| Chr5S:6860310..6860333 | 23/24 | Antisense | target | gtpbp2.S | tropicalis 10.0 | Chr5:2436555..2436578 | 23/24 | Antisense | target | gtpbp2 |
| Chr9:15457049..15457072 | 20/24 | Antisense | off-target | rai1 | |||
| Chr10:26087502..26087525 | 20/24 | Antisense | off-target | LOC105945278 | |||
| Publications | |||||||
| ???morpholino.displaySummary.papersFirst??? |
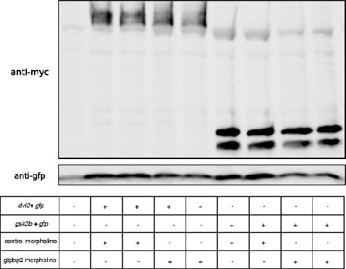
Gtpbp2 is required for BMP signaling and mesoderm patterning in Xenopus embryos., Dev Biol 2014 |
||||||
| ???morpholino.displaySummary.papersRecent??? |
Gtpbp2 is a positive regulator of Wnt signaling and maintains low levels of the Wnt negative regulator Axin., Cell Commun Signal 2016 |
||||||
| ???morpholino.displaySummary.papersAll??? | |||||||
