|
XB-MORPHOLINO-22194218
Morpholino Name:
znrf3 MO2
Synonyms:
Target mRNA: znrf3
Morpholino Type: translation blocking morpholino
Sequence: 5' AACATAATTTCCCAGTCCTCAGTGG 3'
Source: Gene Tools LLC
Synonyms:
Target mRNA: znrf3
Morpholino Type: translation blocking morpholino
Sequence: 5' AACATAATTTCCCAGTCCTCAGTGG 3'
Source: Gene Tools LLC
| Target mRNA | tropicalis | laevis.S | |||||
| Identities | 25/25 | 24/25 | |||||
genome
MO
|
5' CCACTGAGGACTGGGAAATTATGTT 3' ||||||||||||||||||||||||| 3' GGTGACTCCTGACCCTTTAATACAA 5' |
5' CCACTGAGAACTGGGAAATTATGTT 3'
|||||||| ||||||||||||||||
3' GGTGACTCCTGACCCTTTAATACAA 5' |
|||||
| Genomic Alignments |
Position | Identity | Strand | Target | Target mRNA | ||
| laevis 10.1 | Chr1S:154467000..154467024 | 24/25 | Antisense | target | znrf3.S | ||
| Chr6L:74181618..74181642 | 21/25 | Sense | off-target | ankrd33b.L | |||
| Chr3S:107799430..107799454 | 21/25 | unknown | tropicalis 10.0 | Chr1:166259211..166259235 | 25/25 | Antisense | target | znrf3 |
| Chr8:92448200..92448224 | 21/25 | unknown | |||||
| Publications | |||||||
| ???morpholino.displaySummary.papersFirst??? |
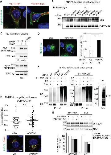
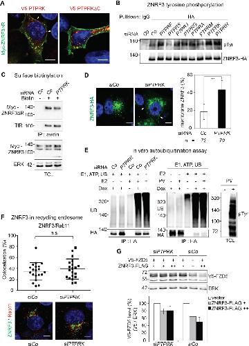
The tumor suppressor PTPRK promotes ZNRF3 internalization and is required for Wnt inhibition in the Spemann organizer., Elife 2020 |
||||||
| ???morpholino.displaySummary.papersRecent??? |
R-Spondin 2 governs Xenopus left-right body axis formation by establishing an FGF signaling gradient., Nat Commun 2024 |
||||||
| ???morpholino.displaySummary.papersAll??? | |||||||
