|
Literature for OMIM 256700: NEUROBLASTOMA, SUSCEPTIBILITY TO, 1; NBLST1
Xenbase Articles:
(
|
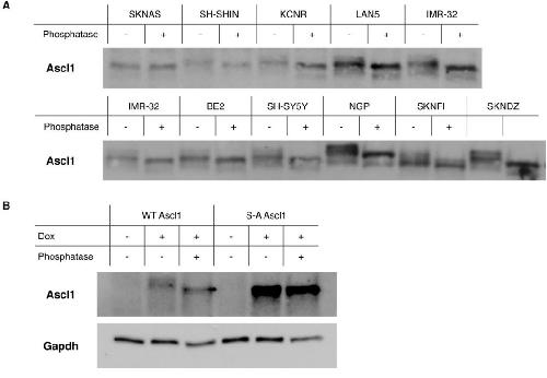
Ascl1 phospho-status regulates neuronal differentiation in a Xenopus developmental model of neuroblastoma.,
Wylie LA,Hardwick LJ,Papkovskaia TD,Thiele CJ,Philpott A,
Dis Model Mech. May 1, 2015; 8(5):1754-8411.
|
