XB-LINE-1466
Line Name: Xla.Tg(CMV:EGFP-synj2bp)Wtnbe
| Summary |
|
| Synonym: |
Dria-GFP, Xla.Tg(Dria-eGFP), Dria-Line, Xla.Tg(CMV:EGFP-OMP25) |
| Species: |
Xenopus laevis |
| Background Strain: |
Xla.Inbred
|
| Description: |
This transgenic Xenopus harbors an enhanced green fluorescent protein (EGFP) fused to the mitochondria transport signal, the pRc/CMV EGFP-synaptojanin 2 binding protein (synj2bp) ( previously called outer membrane protein 25, omp25). transmembrane segment enables EGFP expression on mitochondrial outer membrane. |
| Phenotype Description: |
GFP expression in mitochondria membranes, with GFP is expressed strongly in gonads. Germ cells have GFP labeled mitochondria, which are retained mostly during one generation in females. |
| Breeding Type: |
OUTBRED
|
| Lab of Origin: |
Watanabe Lab |
| Line Type: |
Transgenic |
| Mutated Gene(s): |
|
| MTA Required: |
No
|
| Public: |
Yes
|
|
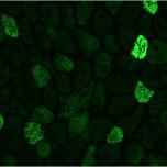
GFP expression in mitochondria in Xla.Tg(CMV:eGFP-OMP25). Image from the MBL Embryology Course, 2017.
|
|
GFP expression in mitochondria in Xla.Tg(CMV:eGFP-OMP25) embryo, early tadpole stage, head and trunk regions, anterior left, dorsal up. Image from the MBL Embryology Course, 2017.
|
|
GFP expression in mitochondria in Xla.Tg(CMV:eGFP-OMP25). Image from the MBL Embryology Course, 2017.
|
| Stock Center |
RRID |
Generation |
DOB |
# Males |
# Females |
Availability |
Mutant Details |
| NXR (US) |
NXR_0059 |
F2 |
2015-01-15 |
0 |
5 |
Order
|
|
| F3 |
2024-05-04 |
8 |
5 |
Order
|
|
| F4 |
2025-11-04 |
Inquire |
Inquire |
Order
|
41 unsexed animals |
Back to Search Lines