XB-IMG-85341
Xenbase Image ID: 85341
|
||||||||||||||||||||||||||||||
|
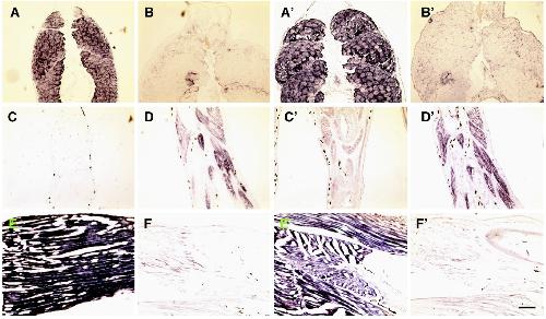
Fig. 5. In situ hybridization with panelsA�F, alpha actin (BC046739) and panelsAâ²ï¿½Fâ², LIM (BC041221). PanelsA andAâ², cross sections of control NF55 tail; panels B
and Bâ², cross sections of NF 62 tail; panels C and Câ², are frontal sections of control NF56 limb. Panels D and Dâ², are frontal sections of NF56 limb treated for 3 days with
10 nM T3; panels E, Eâ², frontal section of control NF61 limb; panels F, Fâ², pCar transgenic limb that was induced for 6 weeks. with Dox. Scale bars=200 μm. Image published in: Cai L et al. (2007) Copyright © 2007. Image reproduced with permission of the Publisher, Elsevier B. V.
Image source: Published Larger Image Printer Friendly View |
