Larger Image

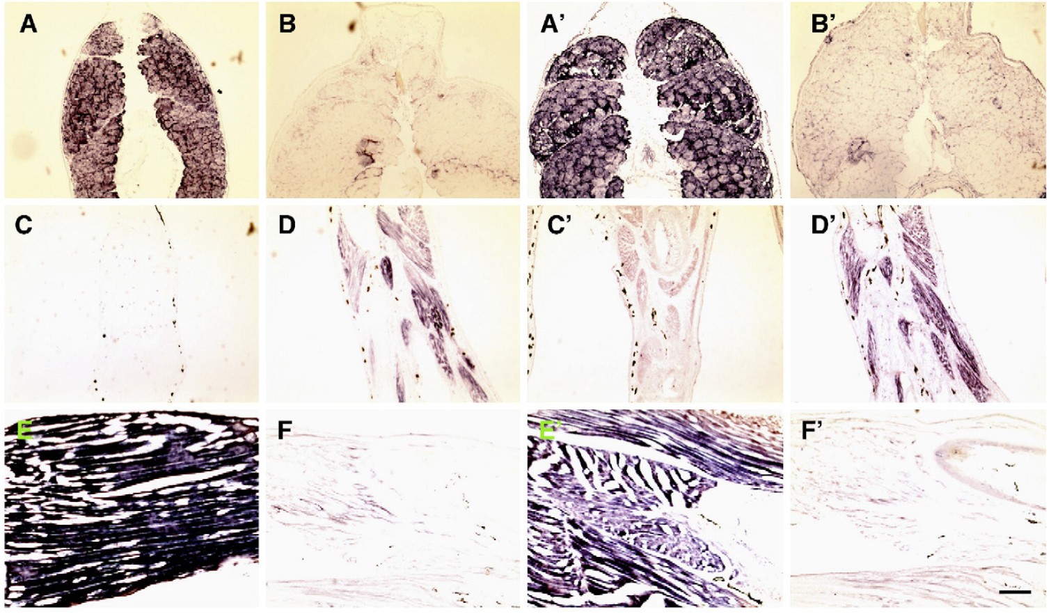
Fig. 5. In situ hybridization with panelsA�F, alpha actin (BC046739) and panelsA′�F′, LIM (BC041221). PanelsA andA′, cross sections of control NF55 tail; panels B and B′, cross sections of NF 62 tail; panels C and C′, are frontal sections of control NF56 limb. Panels D and D′, are frontal sections of NF56 limb treated for 3 days with 10 nM T3; panels E, E′, frontal section of control NF61 limb; panels F, F′, pCar transgenic limb that was induced for 6 weeks. with Dox. Scale bars=200 μm.

Image published in: Cai L et al. (2007)

Copyright © 2007. Image reproduced with permission of the Publisher, Elsevier B. V.

GeneSynonymsSpeciesStage(s)Tissue
pdlim7.Senigma, lmp1, LOC108710972, LOC380426, pdlim7-a, pdlim7-bX. laevisThroughout NF stage 55tail
muscle
skeletal muscle
acta1.Sacta, alpha 1 skeletal muscle actin, asma, cftd, cftd1, cftdm, mpfd, nem1X. laevisSometime during NF stage 55 to NF stage 62muscle
limb
skeletal muscle
pdlim7.Senigma, lmp1, LOC108710972, LOC380426, pdlim7-a, pdlim7-bX. laevisThroughout NF stage 56muscle
limb
pdlim7.Senigma, lmp1, LOC108710972, LOC380426, pdlim7-a, pdlim7-bX. laevisThroughout NF stage 61muscle
limb
skeletal muscle
pdlim7.Senigma, lmp1, LOC108710972, LOC380426, pdlim7-a, pdlim7-bX. laevisThroughout NF stage 62

Image source: Published

Permanent Image Page
Printer Friendly View

XB-IMG-85341