|
||||||||||
|
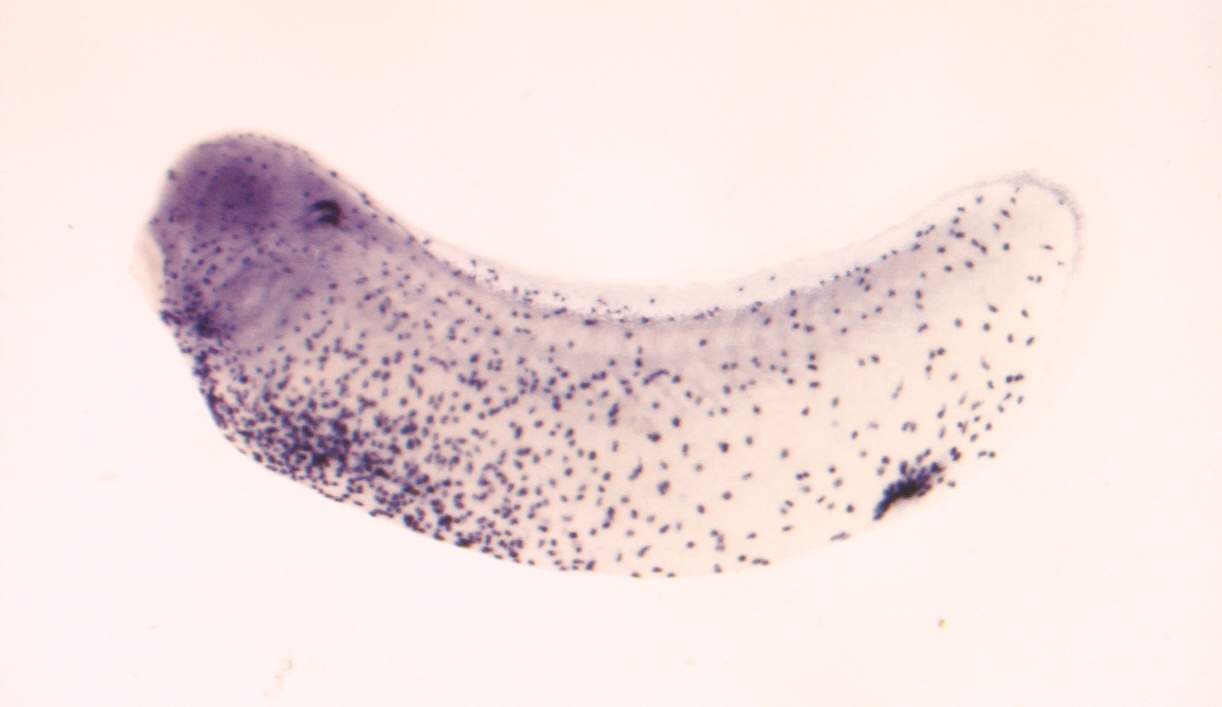
Larger Image cyba (cytochrome b-245, alpha polypeptide) gene expression in Xenopus laevis embryo, assayed via in situ hybridization, NF stage 31, lateral view, anterior left, dorsal up. Copyright © Patient Lab Image created by: Aldo Ciau-Uitz
Image source: Community submitted Permanent Image Page Printer Friendly View XB-IMG-141189 |