Larger Image

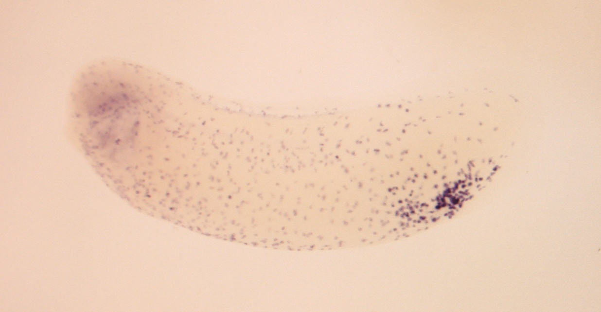
ncf4 (neutrophil cytosolic factor 4, 40kDa) gene expression in Xenopus laevis embryo, assayed via in situ hybridization, NF stage 30, lateral view, anterior left, dorsal up.

Copyright © Patient Lab

Image created by: Aldo Ciau-Uitz

GeneSynonymsSpeciesStage(s)Tissue
ncf4.LX. laevisThroughout NF stage 29 and 30myeloid cell

Image source: Community submitted

Permanent Image Page
Printer Friendly View

XB-IMG-143615