Larger Image

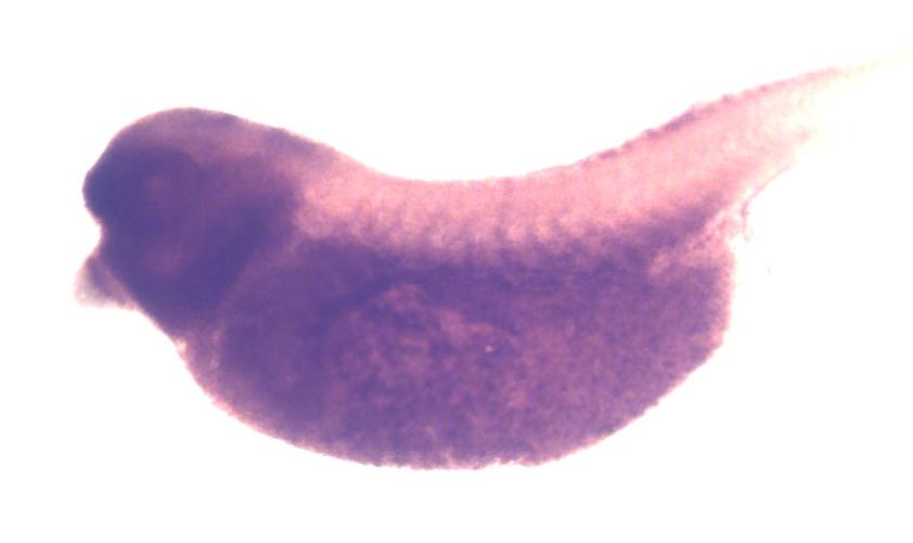
meaf6 (MYST/Esa1-associated factor 6) gene expression in X. laevis embryo, assayed via in situ hybridization, NF stage 37 & 38 lateral view, anterior left, dorsal up.

Copyright © Perron Lab

GeneSynonymsSpeciesStage(s)Tissue
meaf6.LLOC108708237X. laevisThroughout NF stage 37 and 38eye
endoderm
head
brain
forebrain
midbrain
hindbrain
cement gland
epidermis

Image source: Community submitted

Permanent Image Page
Printer Friendly View

XB-IMG-168024